![]() |
![]() |
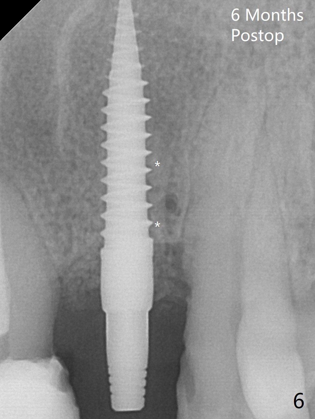
After curettage of the apical granulation tissue, a 3x16(2) mm 1-piece implant is placed with 20 Ncm because of slight overprep using 2 mm drill (Fig.3 (*: allograft)). The density of the bone immediately next to the implant threads increases 6 months postop (Fig.6 *).
Overprep Last Next Xin Wei, DDS, PhD, MS 1st edition 04/15/2019, last revision 04/19/2019