![]() |
![]() |
![]() |
![]() |
![]() |
![]() |
Do Not Overprep for 1-Piece Implant
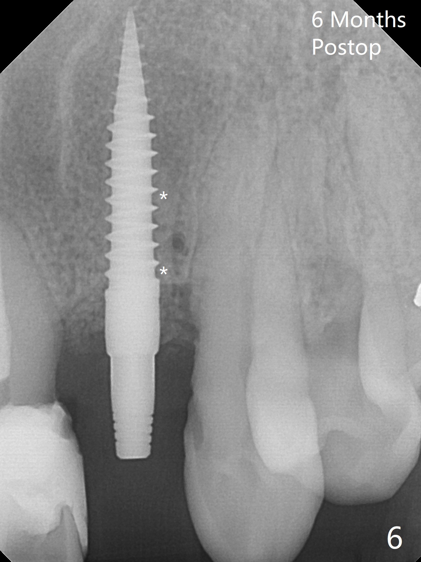
When the 67-year-old man returns for #23-26 crown/FPD cementation, the tooth #10 has fractured with necrotic pulp (Fig.1) and periapical radiolucency (Fig.2 (CT coronal section) *). He requests immediate implant since he has difficulty in getting ride from out of state. After curettage of the apical granulation tissue, a 3x16(2) mm 1-piece implant is placed with 20 Ncm because of slight overprep using 2 mm drill (Fig.3). Postop CT shows that the implant does not seem to be small (Fig.4). The fracture of the tooth #10 is related to edge-to-edge occlusion with the tooth #22 while the lower restoration is being fabricated in lab (Fig.5). It is easy to achieve occlusal clearance when the immediate provisional is fabricated with normal overjet. The density of the bone immediately next to the implant increases 6 months postop (Fig.6 *). The soft tissue also looks normal.
Return to
Upper Incisor
Immediate Implant,
Trajectory,
Clindamycin
Xin Wei, DDS, PhD, MS 1st edition 10/22/2018, last revision 04/19/2019