![]() |
![]() |
![]() |
![]() |
![]() |
![]() |
![]() |
![]() |
![]() |
|
![]() |
||||
External Fixation M
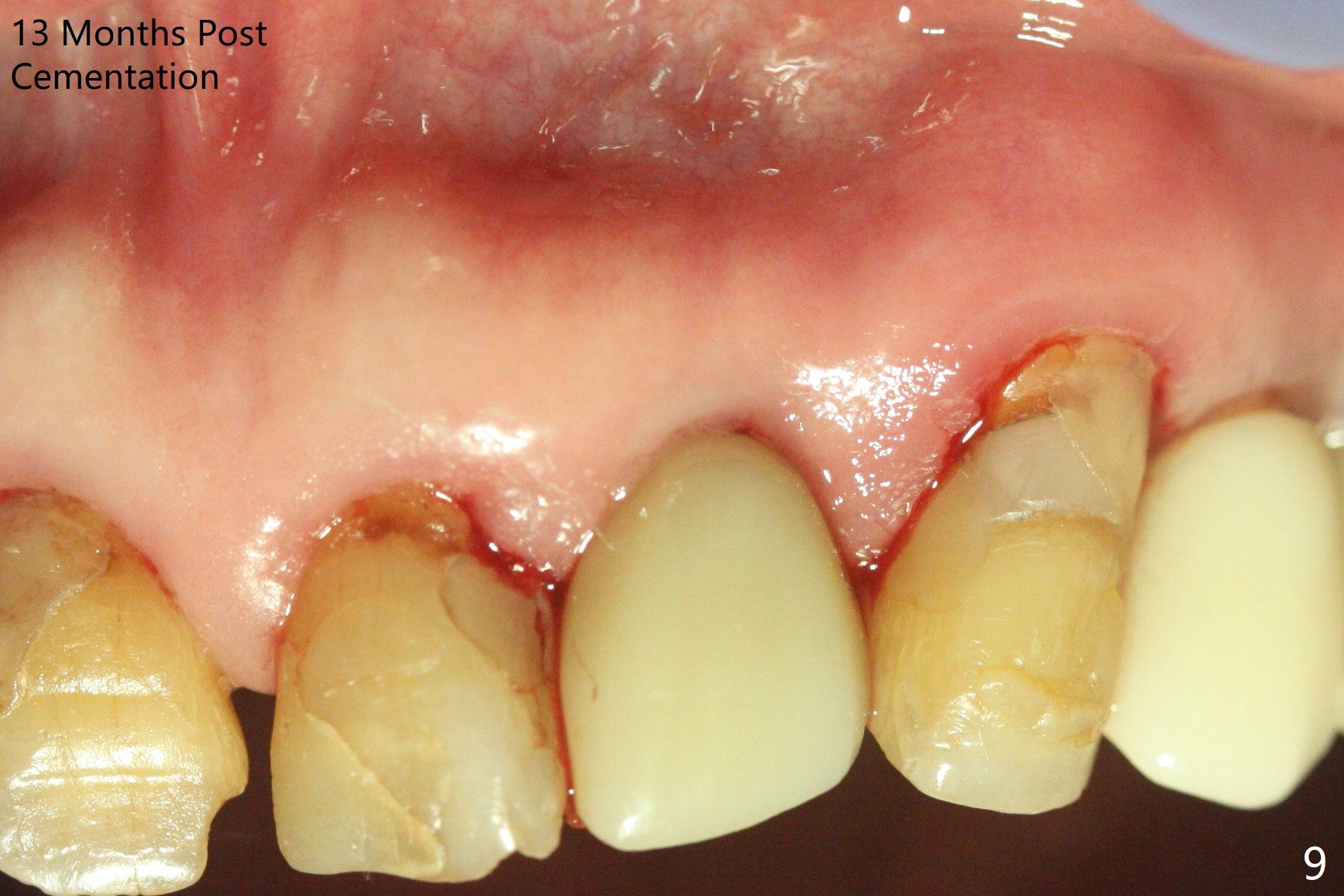
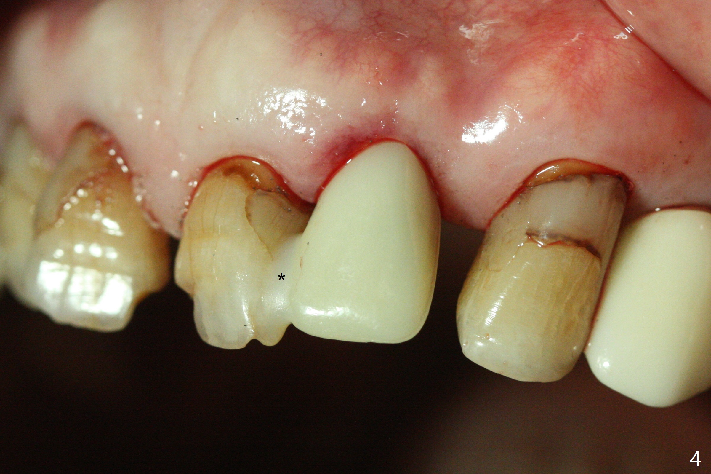
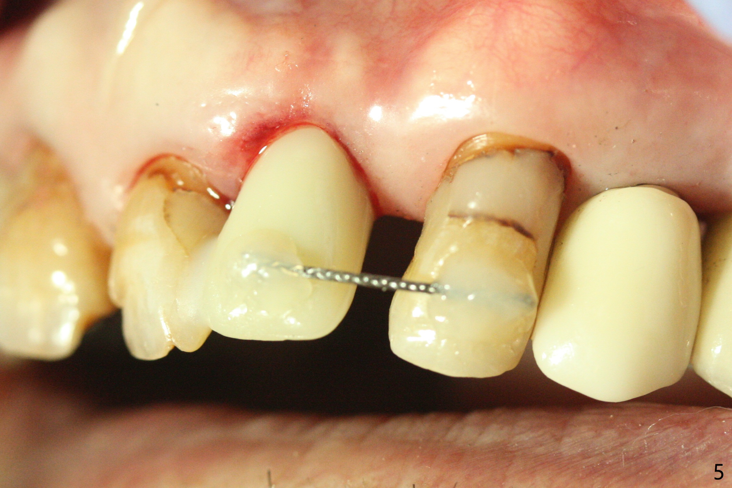
After undersized drilling in depth at #10 (2.2x13 mm (10.5 mm offset), Fig.1), a 2.5x13 mm 1-piece implant is placed (Fig.2,3), as compared to the design (Fig.3'). Following 3 more turns of the implant (~ 20 Ncm), bone graft and heavy buccal reduction of the coronal end of the abutment, an immediate provisional is bonded to the tooth #9 (Fig.4) and splinted to the tooth #11 with a twisted wire (Fig.5). To increase stability and reduce reduction, a 3 mm 1-piece implant could be used with 15 degree abutment. The implant remains stable 5 months postop (Fig.6). The implant seems to be flexible before heavy occlusal reduction; note the periimplant micro-space (Fig.7). The patient is a bruxer. The implant crown seems to be minimally mobile 2 months post cementation (Fig.8, without treatment). 牙冠粘固后1年1个月软硬组织正常(图九)。
Return to Upper Incisor Immediate Implant, Trajectory No Socket Shield 19,21,31 位点保存/导板 导板与内提升 Xin Wei, DDS, PhD, MS 1st edition 07/01/2019, last revision 02/14/2021