![]() ![]() |
![]() ![]() |
![]() |
![]() |
![]() |
![]() |
![]() |
![]() |
长基台
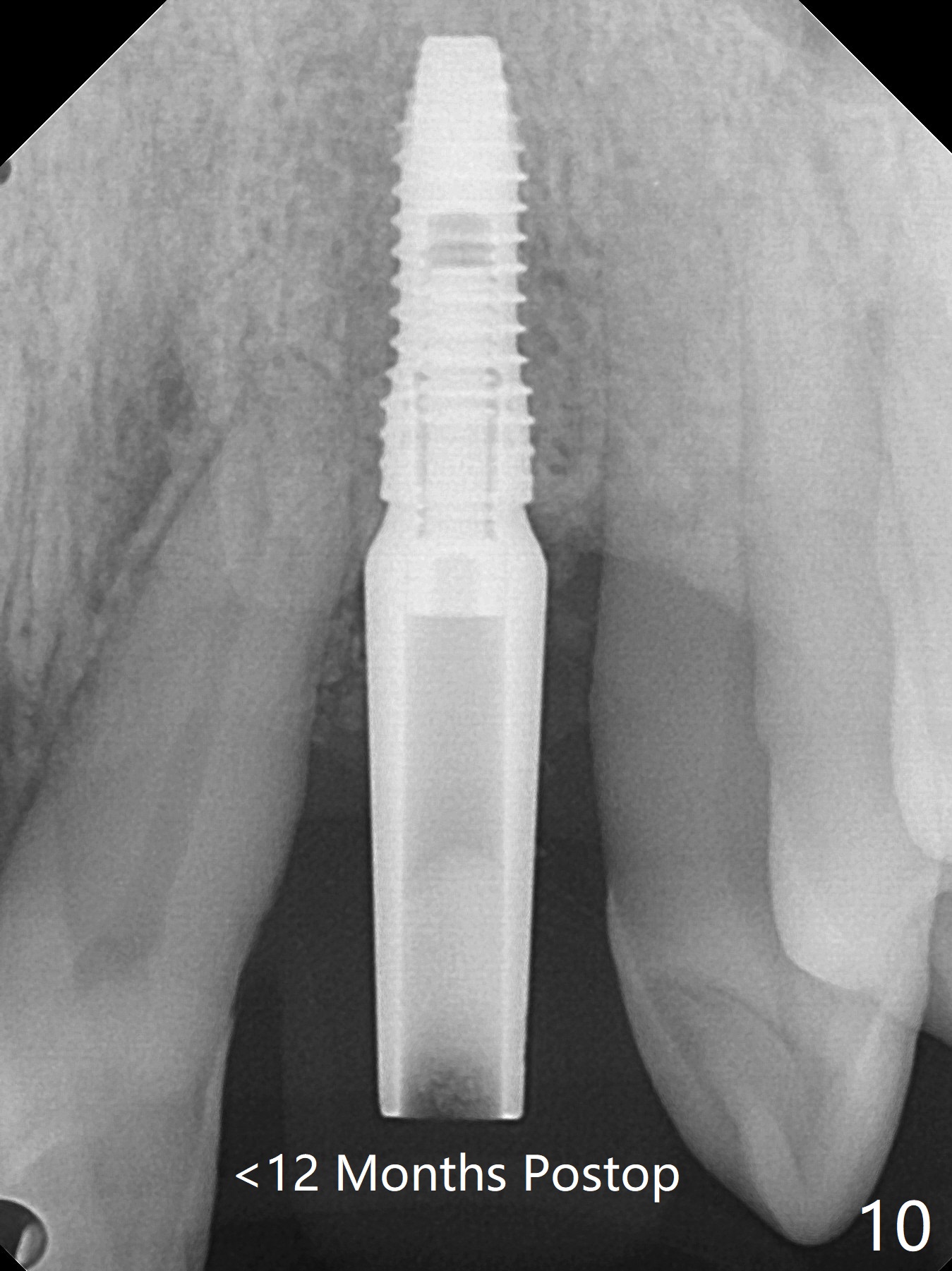
实验结果表明红管抽取上清液形成粘性骨块比白管快。左上二拔除,即刻徒手钻洞(图一),初步植入3.8x11.5毫米植体(图二),调整植体深度,然后放置直径4.5毫米长基台(图三,DIO UF; 牙龈厚度大于6毫米),最后填入大量粘性骨粉(图四,五 *),植体颊侧近中骨粉不足(图五 ^),之后再次充填骨粉。制作即刻修复物,颊侧瘘道和牙槽窝开口放置PRF膜。术后三周临时牙冠松动,取出后者,颊侧空间有两个区域:牙龈和骨粉(图六:白,黑星号)。由于脑部手术,术后接近一年病人回来取模。由于基台长,临时牙冠还没有脱落(图八)。牙龈袖正常(图九:*)。术后一年骨粉仍在植体,基台交界处(图十)。
Return to No Deviation Xin Wei, DDS, PhD, MS 1st edition 08/18/2020, last revision 08/16/2021