![]() |
![]() |
![]() |
|
![]() |
![]() |
![]() |
![]() |
![]() |
![]() |
![]() |
![]() |
![]() |
![]() |
![]() |
|
![]() |
![]() |
||
信则灵;可靠植骨术(位点保存,Socket Preservation)
新技术新产品出现时我们使用时觉得效果不像厂家介绍那么好,其实反复尝试,巧妙应用,效果会显著提高(信则灵,本文指的是PRF膜使用)。对于颊侧软硬组织缺损,通常方法是拔牙,伤口愈合后,再植骨,再过好几个月种植。其实选择合适植体,合适方法,即刻种植反而是可靠植骨方式。
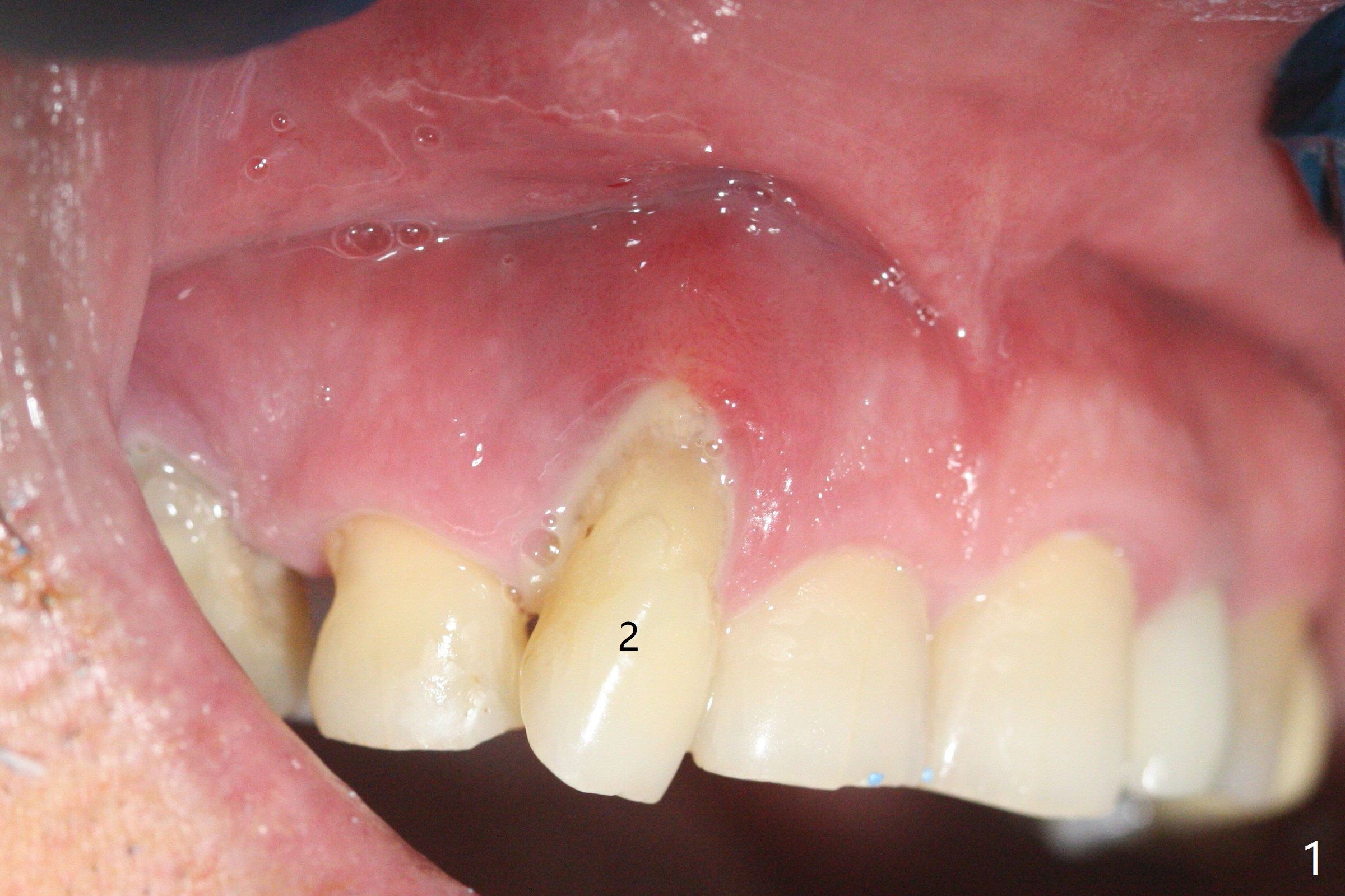
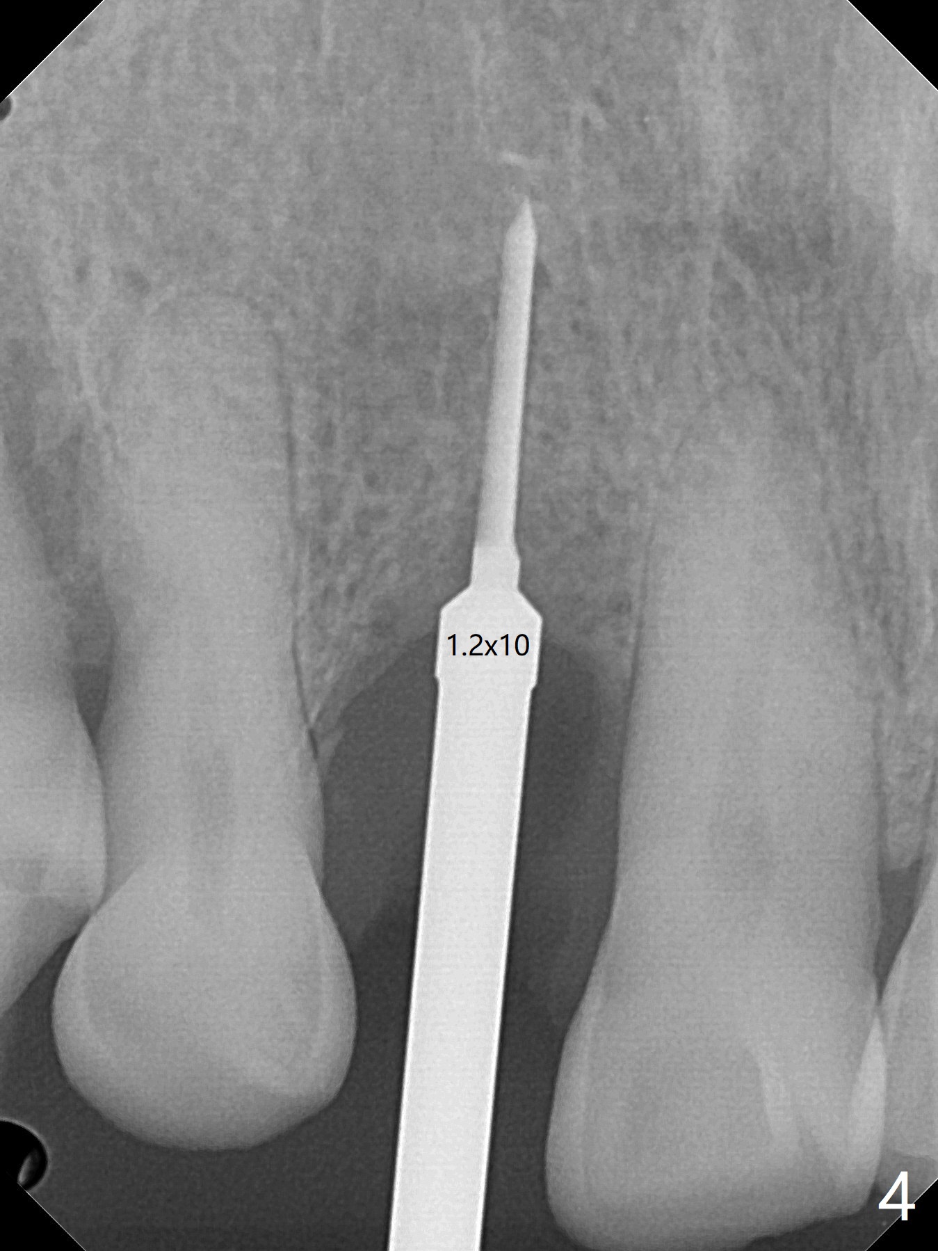
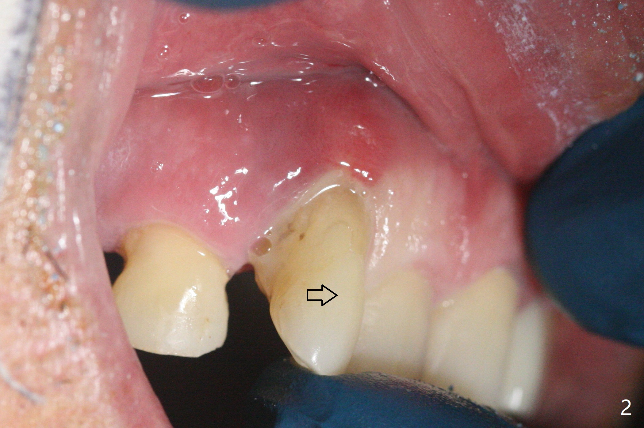
68岁男士右上2严重骨质吸收,颊侧骨板缺失,术前牙龈退缩也十分明显(图一,二),术中对脆弱牙龈缘(图三:*)不应施加任何压力或者牵拉,更不能切开,保持最佳血供。按照术前设计,在牙槽窝腭侧钻洞(图四),植入2.5x15毫米一段式植体(扭力>35Ncm),基台特长(牙龈厚,图五)),基台位于合适修复位置(图六),4-5毫米螺纹颊侧暴露(图七:*)。植骨(图八(CT冠状切面(拔牙后:黑色)):箭头)前,将PRF膜(白线)一头(a)插入牙槽窝颊侧,另外一头(图八,九:b)放置颊侧牙龈颊侧。然后填入粘性骨粉(图九:S;图十四:*),将b头PRF膜往下翻,它末端事先冲一个洞(punch a hole using sterilized rubber dam punch),插入基台(图十(粉红色),十一),这样PRF膜不移位,牢靠地固定骨粉(图十(红圆圈),图十四:*),最后使用树脂敷料覆盖伤口(图十二,十三:A),同样需要基台(箭头,也就是一段式植体)固定,也就是没有即刻植体,就没有骨粉固位。术后两个月伤口缩小,肉芽组织生长(图十五)。撤除树脂敷料后,制作临时牙冠,半个月后唇侧植体有些暴露(图十六),嘱咐强化口腔卫生。
Return to
No
Caries
牙周敷料
Xin Wei,
DDS, PhD, MS 1st edition 01/14/2021, last revision
03/26/2021