![]() |
![]() |
![]() |
![]() |
|
![]() |
![]() |
![]() |
||
![]() |
![]() |
![]() |
![]() |
|
![]() |
![]() |
![]() |
||
![]() |
![]() |
![]() |
||
![]() |
||||
悬臂桥
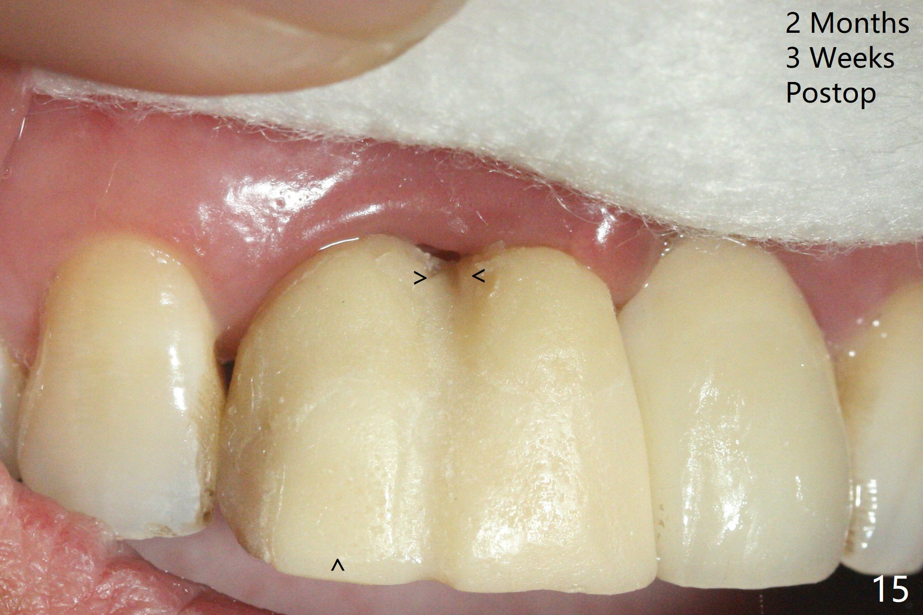
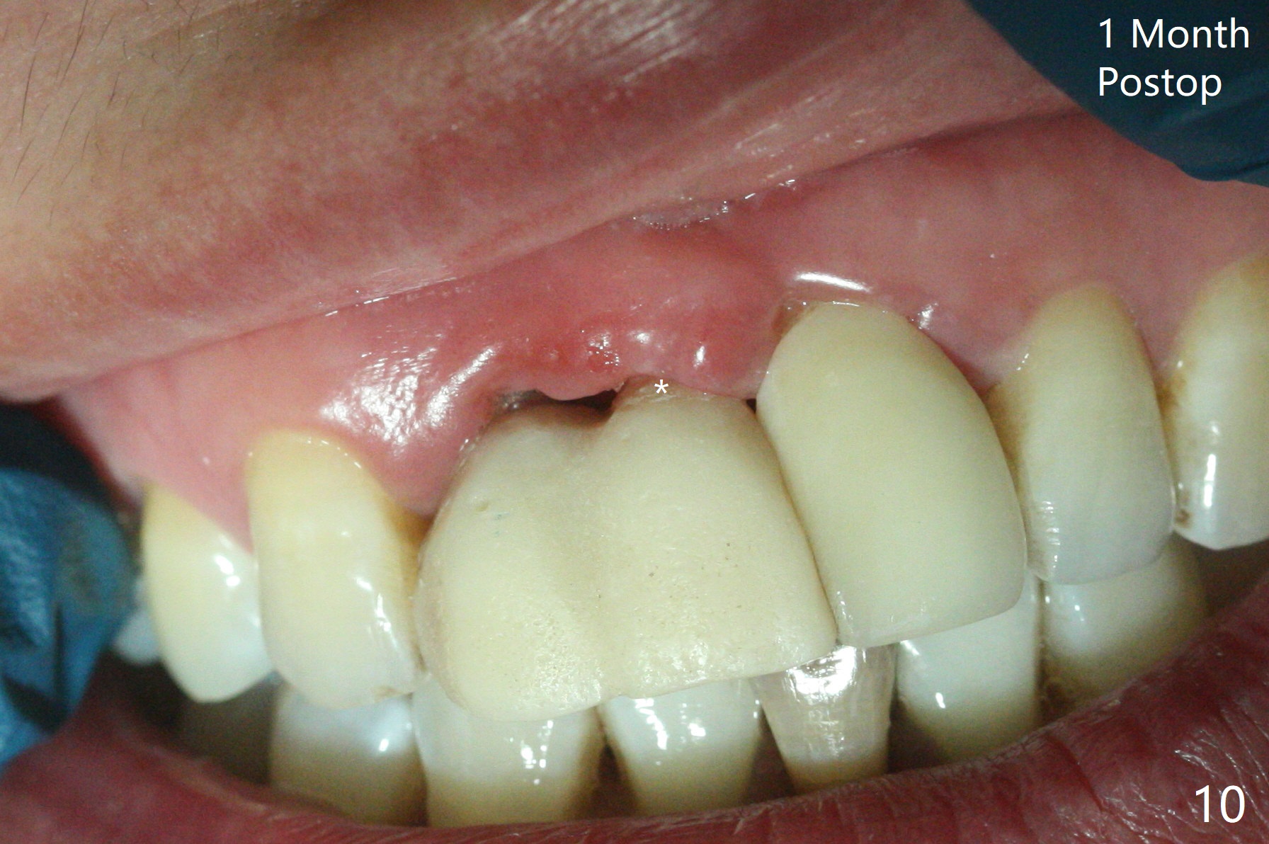
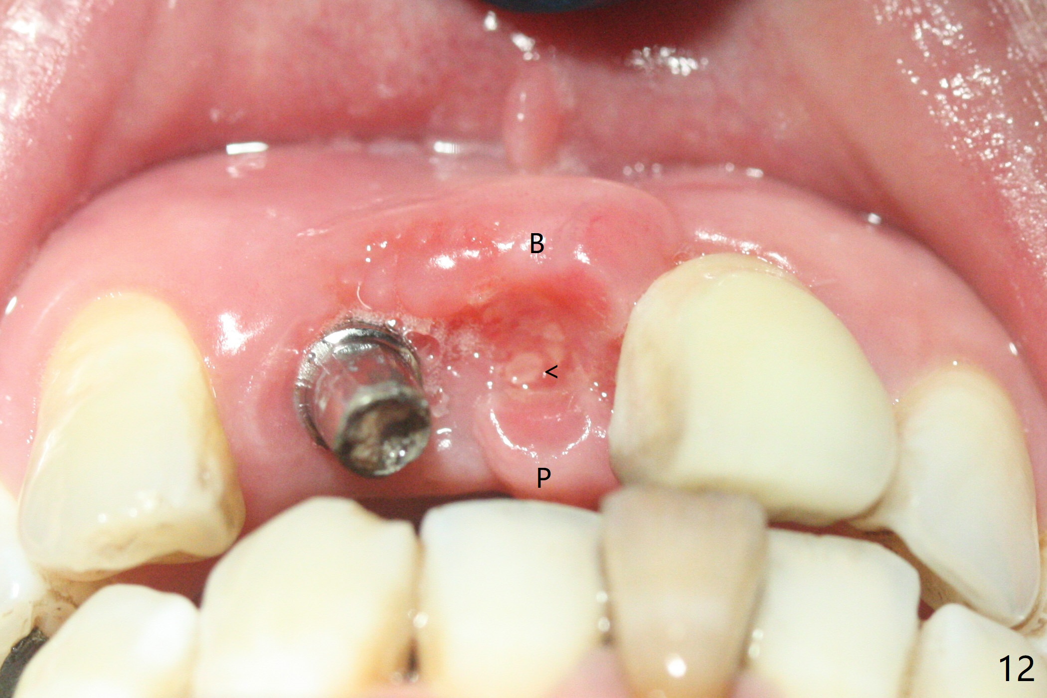
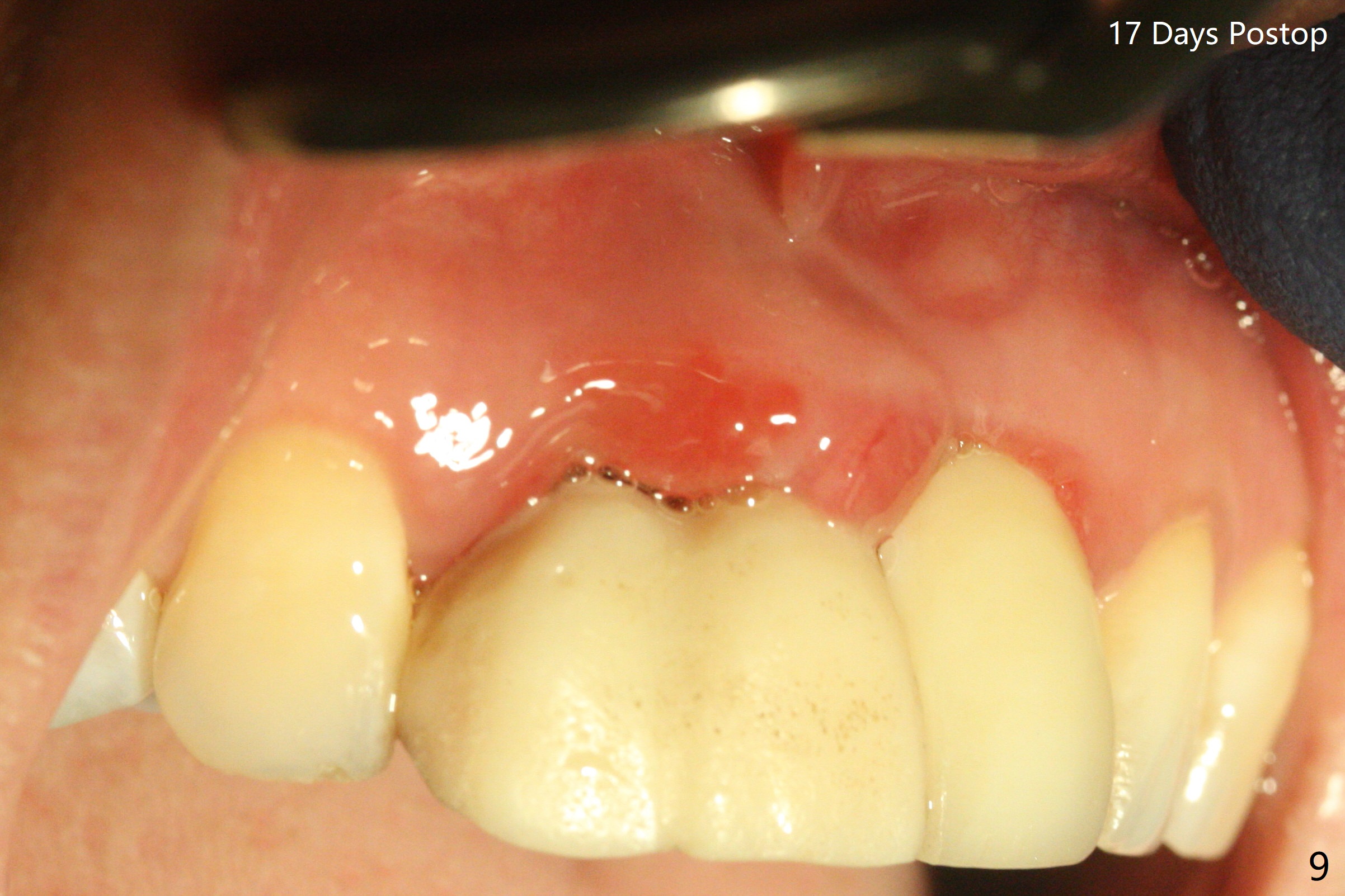
拆除部分桥发现:中,侧切牙牙龈红肿(图一),不利于切口和伤口愈合。不过还是在中切牙区切开,牙龈相当厚,有利于今后牙龈形成凹陷和乳头。坏消息是近远中距离太短,不利于植牙以及今后局部卫生维护,所以决定只在侧切牙种植(图二,三),完成钻洞后,颊侧根尖穿孔植骨,然后植入植体,即刻放置修复基台(图四 (*:牙龈乳头)),暴露基台牙龈缘,制作临时悬臂桥 (图五),两个中切牙牙冠长度差不多,插入临时桥时颊侧牙龈乳头基本形成(图六:*),缝合前颊侧,腭侧牙龈瓣下放置粘性骨块(图七,八:* )和PRF膜(图七:^)。最后使用牙周敷料。但愿术后牙龈炎症消失,形成良好牙龈乳头和pontic concavity。 其实由于口腔卫生习惯,术后十七天颊侧牙龈仍红肿(图九),而腭侧正常。如果口腔卫生改善而红肿依然存在,让实验室制作临时桥。术后一个月颊侧牙龈红肿好些(图十),好像骨粉丢失少许,可能与水枪使用有关。右上1牙冠显得太短(*)。也太肥大,因为右上1切缘太颊侧,与左上1对比(图十一:*)。由于颊侧牙龈(图十二:B)术中推向颊侧,与腭侧(P)牙龈之间放置大量粘性骨粉,术后一个月骨粉(<)形成牙龈,形成凹陷。颊侧萎缩不再明显了。右上1牙冠颈部多加些树脂,牙齿就显得长的多(图十三:箭头)。与侧切牙之间颈部故意留下间隙(*),让牙龈入位(空箭头),形成龈乳头。当右上1临时牙冠切缘(图十四:*)移到腭侧,外形改观不少。下次改善侧切牙唇侧。术后两个月三个星期牙龈红肿好像减轻,牙龈没有进入切牙间隙,干脆用树脂关闭(图十五:> <)。下次减少侧切牙切缘(^),适当增加中切牙长度(上提牙龈)。术后3.5个月植体好像整合,基台完全就位(图十六)。术后3.5个月Pontic凹陷形成,但是1,2之间龈乳头始终无法形成(图十七)。以后类似病例应该多种植一个。此例草率取模,可能需要临时粘固,观察植体近中颊侧所谓瘘道,必要刮治。由于比色不佳,需要实验室颜色更改,病人强化卫生,术后七个月,永久性牙冠粘固前,局部牙龈健康(图十八)。
Xin Wei, DDS, PhD, MS 1st edition 09/06/2020, last revision 04/18/2021