![]() |
![]() |
![]() |
![]() |
![]() |
![]() |
![]() |
|
腭侧多生牙
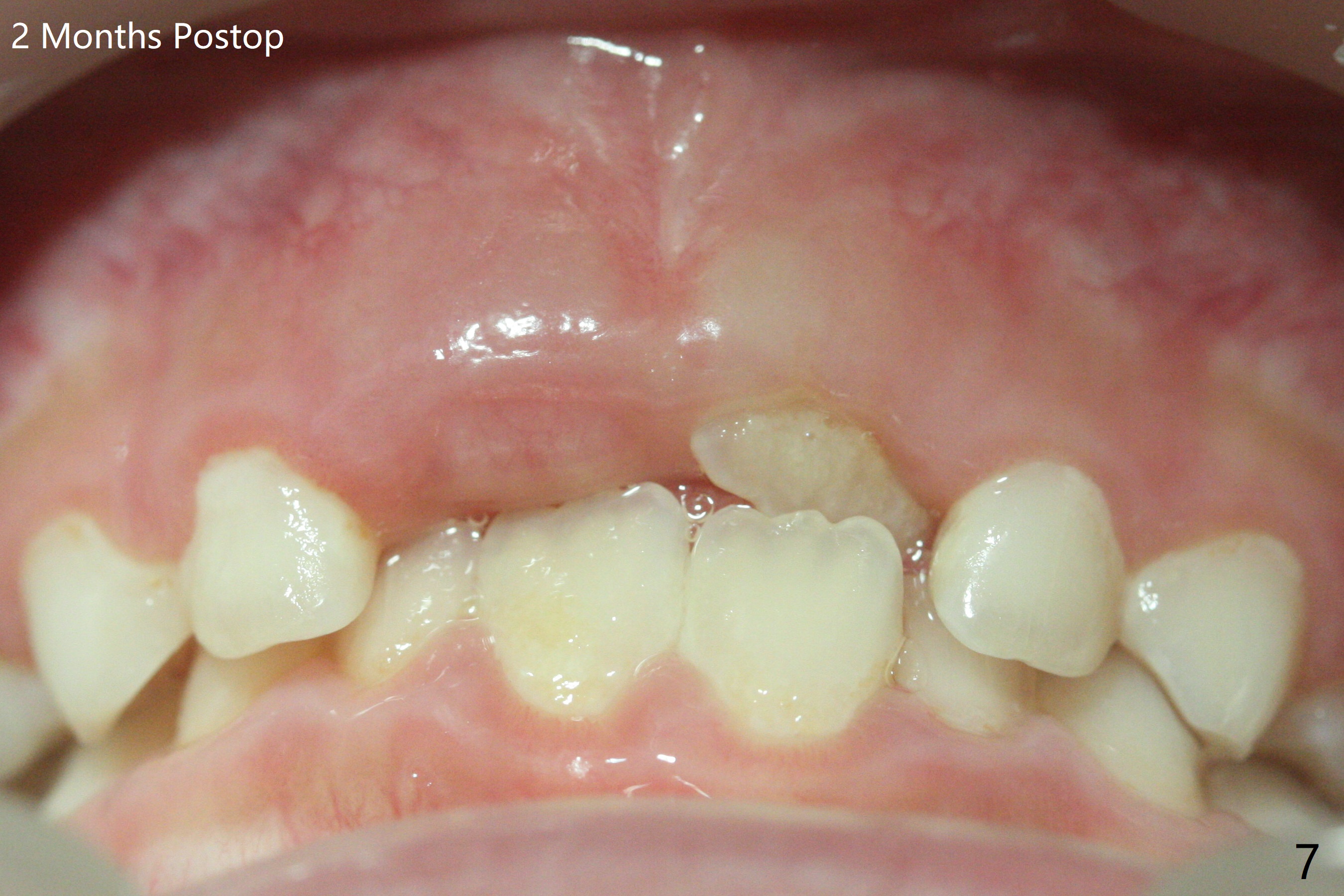
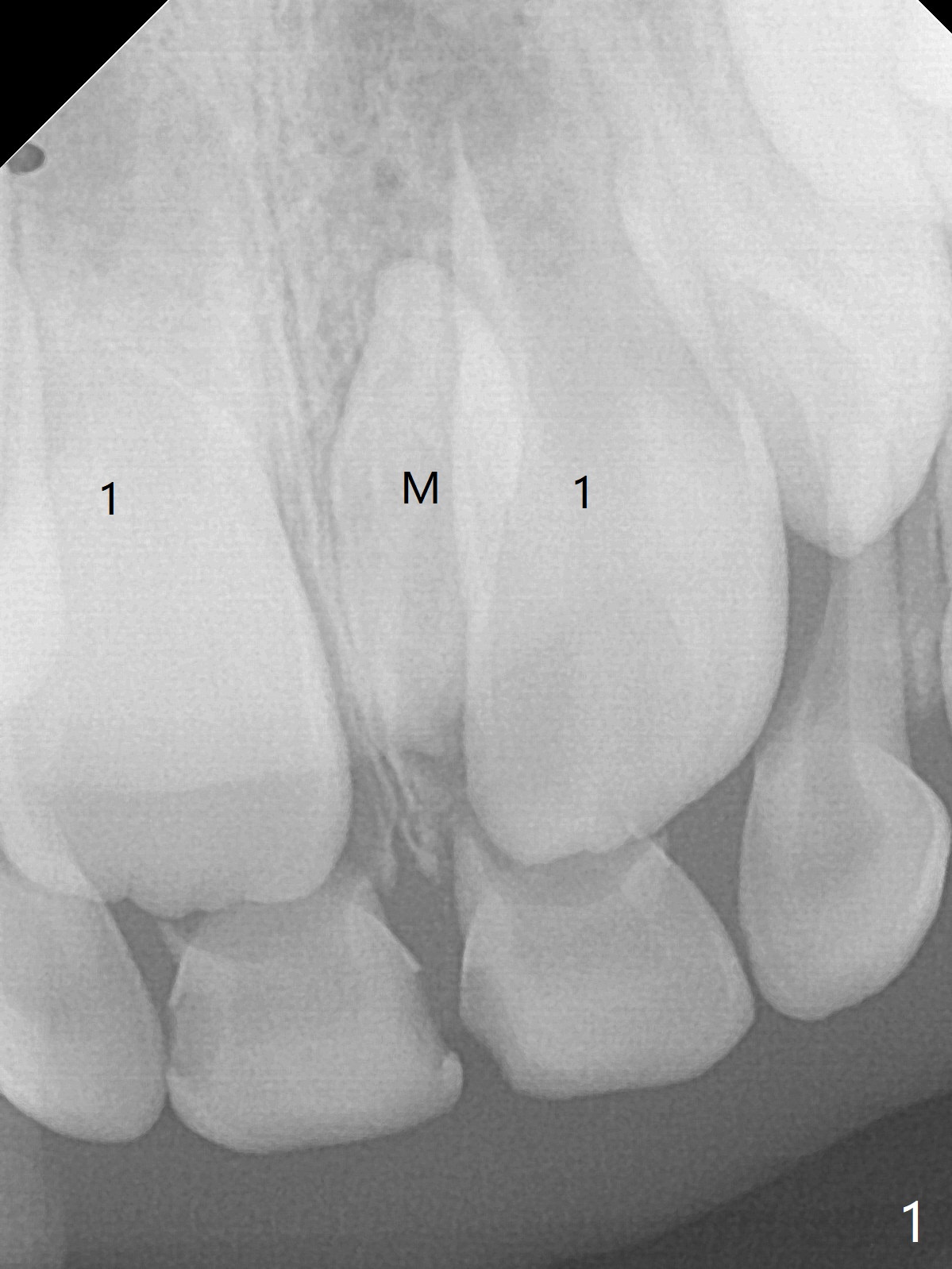
6岁11月女上乳中切牙松动许久,但不脱落,根尖片显示正中多生牙(图一:M),CT显示后者位于腭侧(图二:P)。Take preop photos to show whether the lower lateral incisors have erupted or not. If yes, remove the upperdeciduous central incisors. 一个月后病人回来时,右上乳中切牙已脱落,左上松动 ,术中后者好像影响视野而拔除,腭侧切口,暴露左上1后,拔除多生牙(图三)。 术后3个星期左上中切牙萌出,扭转,反合(图四,五)。术后六个月仍旧如此(图六,七),右上中切牙未萌出,小孩害怕促进萌出手术。准备制作活动矫正器。
Return to Professionals Mom
Xin Wei, DDS, PhD, MS 1st edition 10/24/2020, last revision 01/30/2021