![]() |
![]() |
![]() |
![]() |
![]() |
植体周围炎
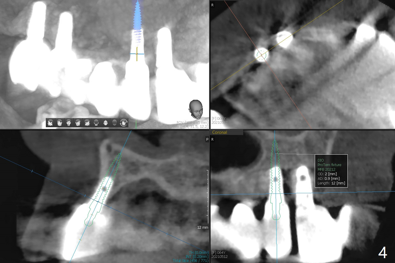
64岁女#3-7,8-13植牙桥多年,7-8之间出现间隙(图一),最近7颊侧牙龈出血,CT显示7颊侧骨板缺失(图二,三)。可能植骨有困难,似乎2x12毫米植体是解决问题部分措施(图四),接着外提升,在5,6上颌窦植骨,如果顺利,同期在6种植,2x10毫米(图五),3-5暂时改为悬臂桥,如果5提升成功,再种植一个植体。但是病人要求植骨。Return to Protect Graft 101 Xin Wei, DDS, PhD, MS 1st edition 05/12/2021, last revision 06/15/2021