![]() |
![]() |
![]() |
![]() |
![]() |
![]() |
![]() ![]() |
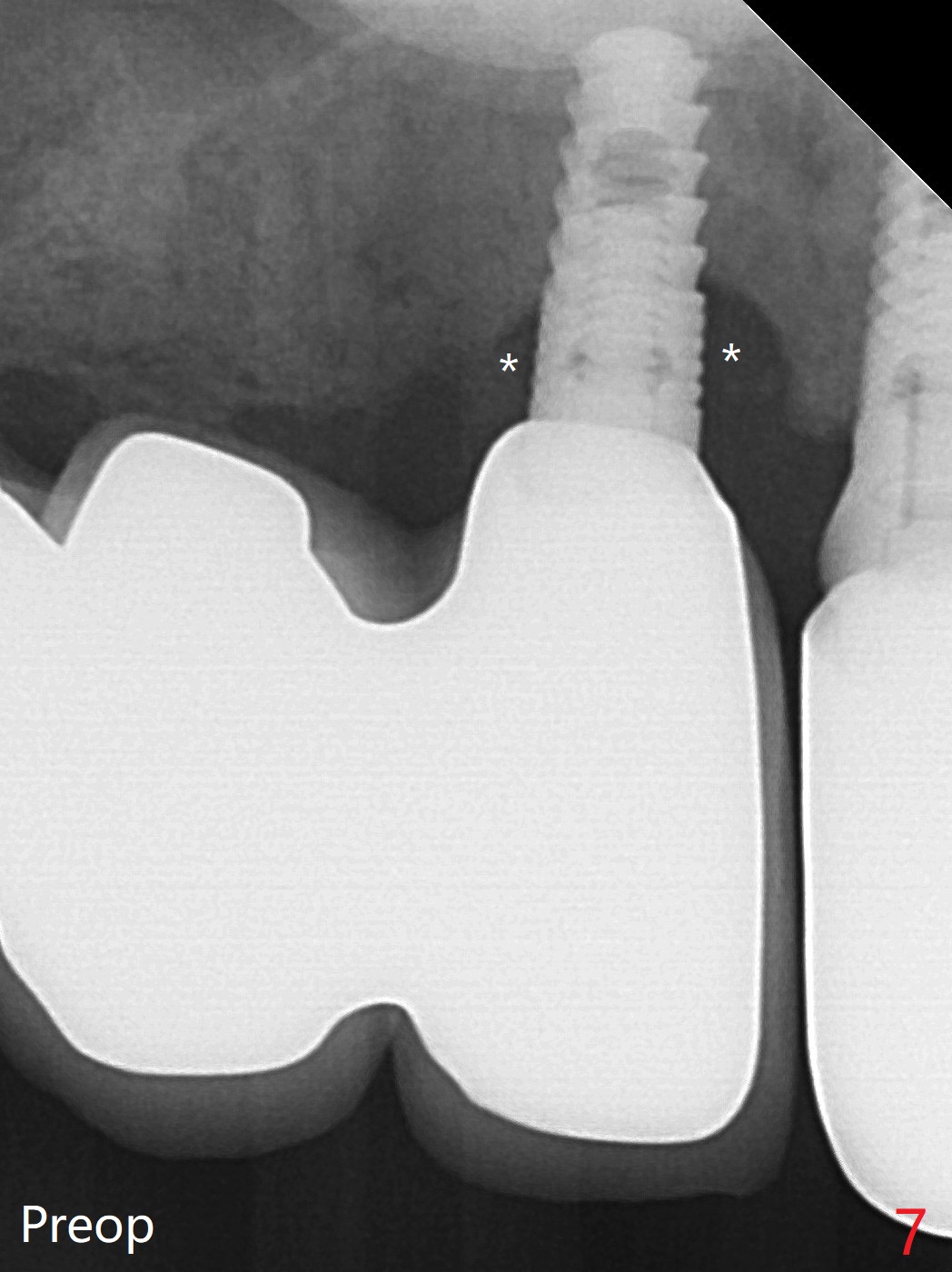
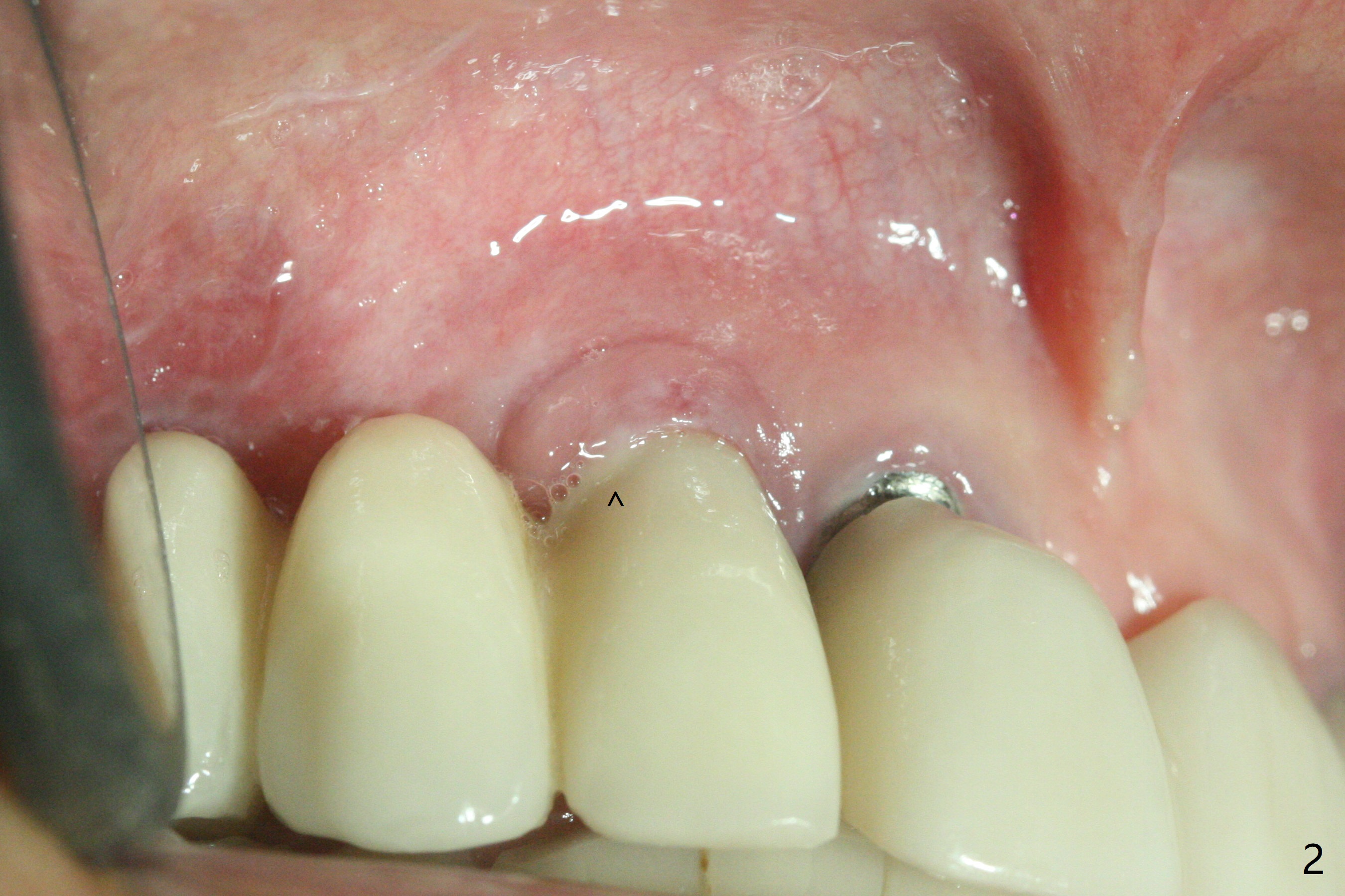
修复物导致的植体周围炎
64岁女3-7牙桥,7号牙植体颊侧牙龈缘红肿(图一:*),脓液(图二:^),需要切开清洗,但是6号牙桥墩颊侧非角化龈(N)妨碍切口,所以必须去除桥墩,暴露牙槽嵴顶角化龈(图三:K),容易切开,最后缝合而不容易出血,伤口容易愈合。切开清创后重大发现是牙冠边缘(图四:^)直接接触植体微螺纹,没有基台与牙龈之间形成的屏障,有利于口腔细菌直接感染植体。直感告诉术者必须缩短牙冠边缘,抛光。然后缺损处放置粘性骨粉(图五,八:S,与图七(术前)比较),表面覆盖PRF膜,缝合(图六)。准备术后尽早去除牙冠,预防细菌再次感染。并且在6号牙位植入2x8.5毫米植体。
Return to
Protect
Graft
Xin Wei,
DDS, PhD, MS 1st edition 06/15/2021, last revision
06/15/2021