![]() |
![]() |
![]() |
![]() |
![]() |
![]() |
支撑骨粉
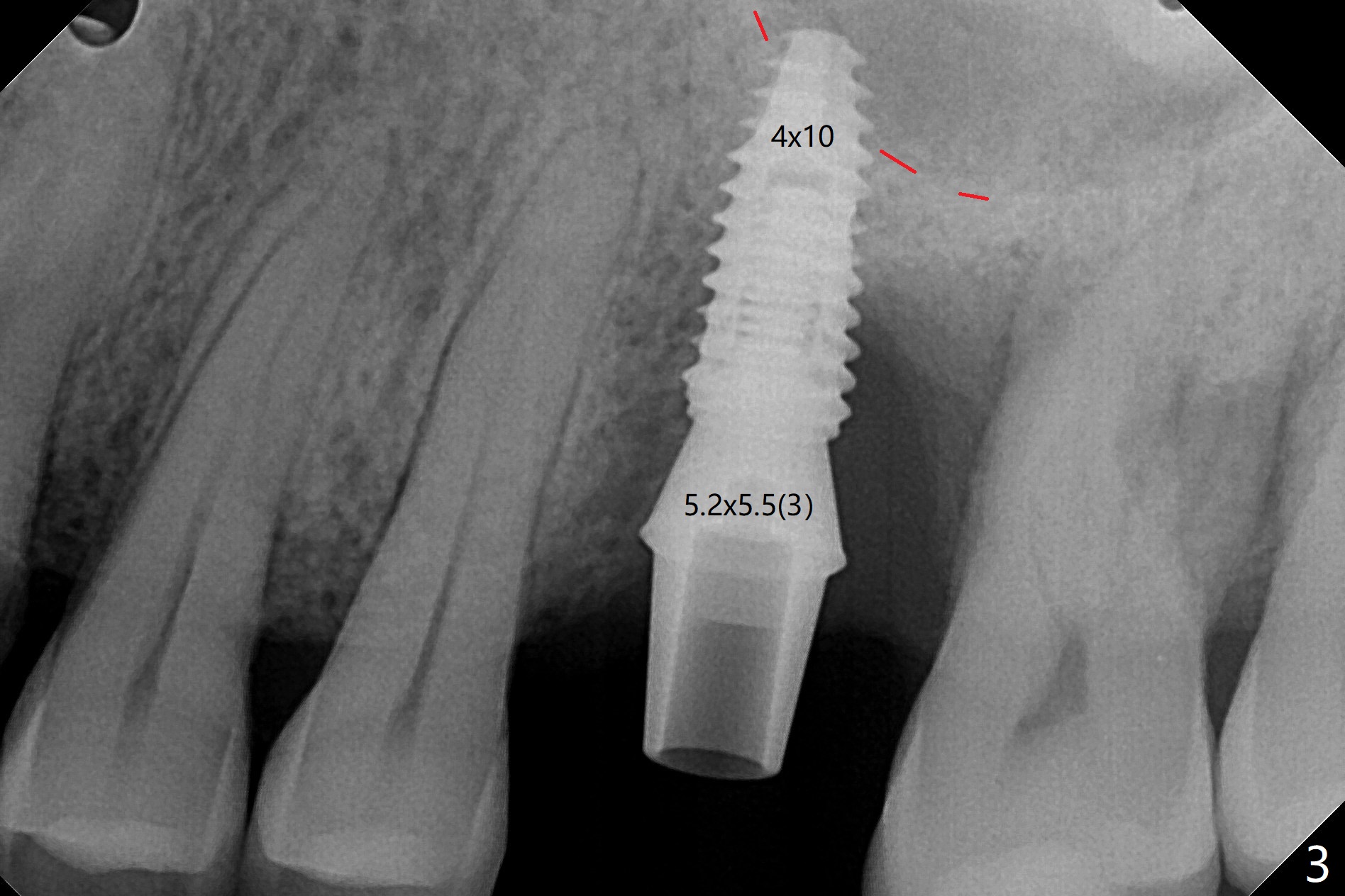
切开,使用导板完成初步钻洞,然后应用特殊上颌窦提升骨凿,顶端象环形刀,两侧有锥形刀刃(图一:箭头,防止骨凿突然进入上颌窦),由于窦底硬,骨凿并没有完全提升窦底(图二:红虚线)。使用短一号植体(图三),恰好进入上颌窦(没有骨粉),利用植体和基台固定骨粉(图四:*),覆盖两张PRF膜,将两侧厚的粘骨膜瓣尽量靠拢(图五)。最后树脂敷料。术后八天病人抱怨伤口和邻牙疼痛,骨粉被水牙线冲出来,进行邻牙咬合调整,疼痛即刻减轻(图六),再服用抗生素一周。一周后仍有轻度不适,局部牙龈正常,没有触痛。No Caries Magic Sinus Lifter 提升 Xin Wei, DDS, PhD, MS 1st edition 04/02/2021, last revision 04/18/2021