![]() |
![]() |
![]() |
![]() |
![]() |
![]() |
同期植牙植骨提升
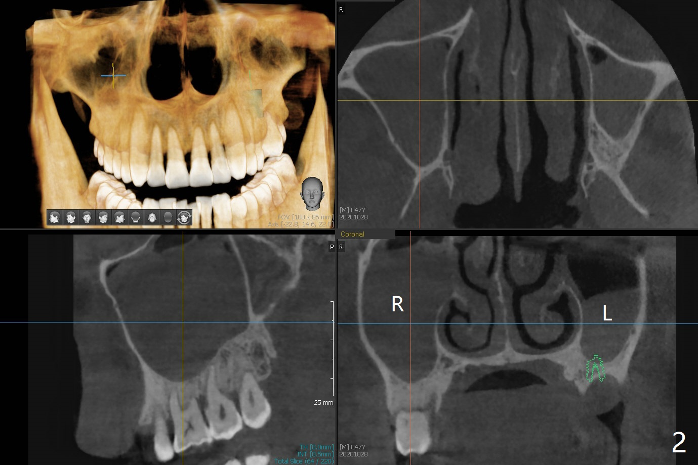
47岁男(吸烟一天半包)因右下8疼痛就诊,口服抗生素疼痛消失,不愿意拔除,但是要求左上6植牙(图一),左上颌窦好像有粘液囊肿(图一,三:*),而右侧上颌窦粘膜更厚(图二)。左上6植牙床是一个斜面,植牙会远中偏移,导板设计应有意往近中(图三:红线)。植体远中根尖需要内提升,冠部需要植骨(图四),厚的粘骨膜有利于植骨(粘骨,使用mill abutment),骨粉尽可能放置7牙根近中(图五:红色圆圈,Endogain)。第二种设计(图六)使用细长植体,近中龈下4毫米,远中龈下8毫米,有利于植骨,覆盖远中暴露的螺纹。Return to No Caries 位点保存/导板 手术 提升 Xin Wei, DDS, PhD, MS 1st edition 10/28/2020, last revision 04/04/2021