![]() |
![]() |
![]() |
|
![]() ![]() |
![]() |
![]() |
|
Short, Hard Bone
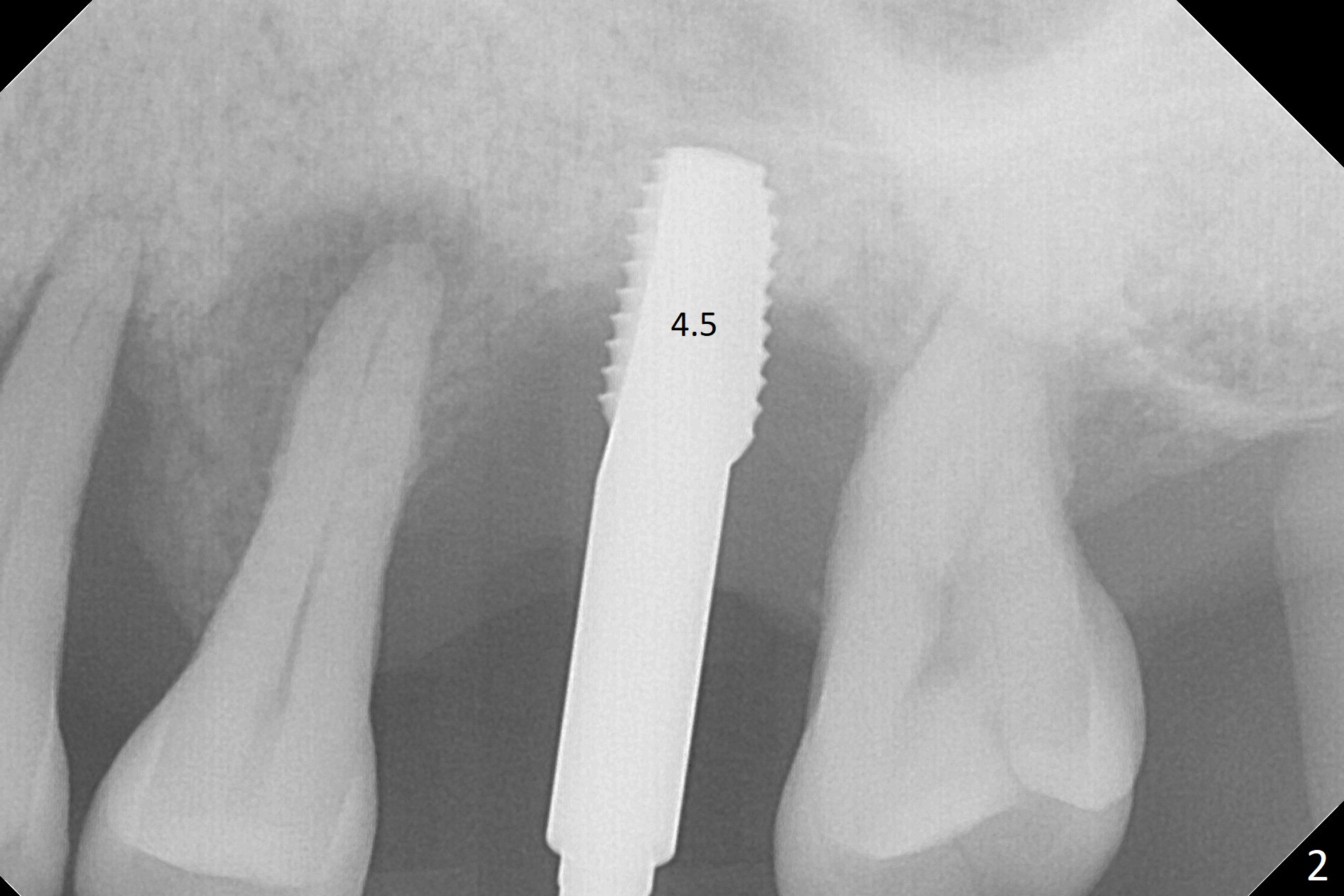
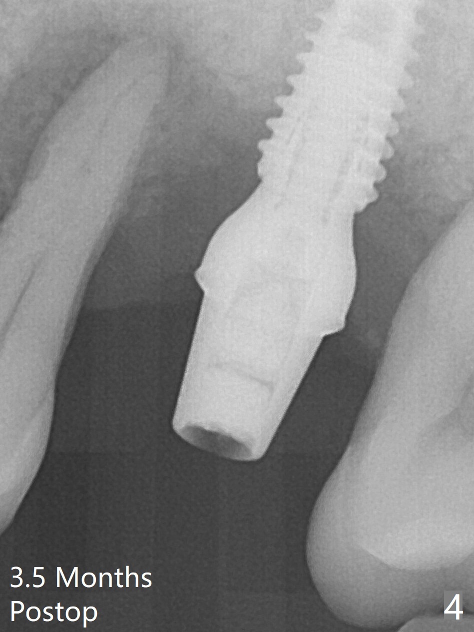
Bone height at #14 two months post exfoliation is ~ 4 mm (Fig.1). Bone expansion is difficult because of dense bone. After drilling, a 4.5 mm tap is inserted with stability (Fig.2). Sinus lift is accomplished with RT3 and autogenous bone prior to placement of a 4.5x8.5 mm implant (Fig.3). Because of flapless surgery and tight and long gingiva, bone graft around the coronal end of the implant is intentionally not placed. A 5.5x5(4) mm abutment is immediately placed for an immediate provisional. (Fig.4). Take PA and impression when the patient returns. The provisional dislodges 3.5 months postop (Fig.4); impression is taken. The patient reports hot sensitivity and pain after meal at the implant site (Fig.5). After removal of the implant crown/abutment, she feels better. If not, it seems necessary to extract the tooth #13 for a 13 mm long implant with a mill abutment (Fig.6).
Return to Upper Molar Immediate Implant, Armaments 6 3 2
Xin Wei, DDS, PhD, MS 1st edition 12/28/2017, last revision 03/10/2019