![]() |
![]() |
![]() |
![]() |
![]() |
![]() |
Bone-Level Guide for Tissue-Level
Implant
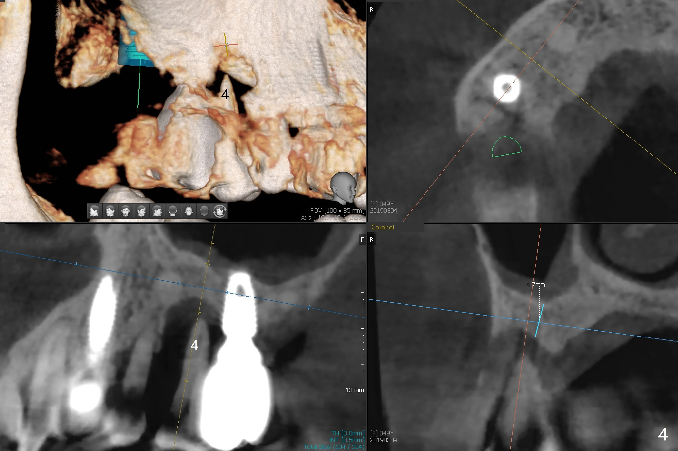
A 49-year-old woman has generalized moderate localized severe periodontitis (Fig.1). While the implant at #3 is osteointegrating 5 months postop, the abutment screw at #14 is loose 3 months post cementation. Because of periodontitis, the crown/abutment ratio is unfavorable. New implants should be tissue-level (as large as possible, in this case 6 mm at #2, see below). Use 9 mm long abutment so that the crown could be cemented temporarily in case of repair. The tooth #2 exfoliates with short and loose bone (Fig.2). Sinus lift will be accomplished with guide. Sinus lift at #3 is visible 6 months post cementation (Fig.3 *). Since the bone loss at #4 is severe, the tooth will be extracted with bone graft (Fig.4). The guide for #4 will be fabricated now for future use in spite of the fact that the level of the crest is uncertain now. The thread portion of a 6x11 mm tissue-level implant is 7 mm (Fig.5,6). The bone density is low; prepare expanders, taps and under drilling. B: buccal. Probably Magicore is better than Tatum implant for this case, because of various cuff length and extra neck portion. The bone density is low; prepare expanders, taps and under drilling.
Return to Upper Molar Immediate Implant, Trajectory 6 Xin Wei, DDS, PhD, MS 1st edition 03/10/2019, last revision 03/21/2019