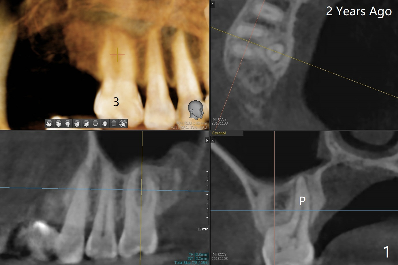
拔牙也有困难,虽然十分松动,但是无法脱位,研究两年前CT,牙根长,弯曲(图一,二),分根后才完成拔除,P:腭侧。

牙裂  位点保存   Last     Next

Xin Wei, DDS, PhD, MS 1st edition 09/11/2020, last revision 07/03/2021