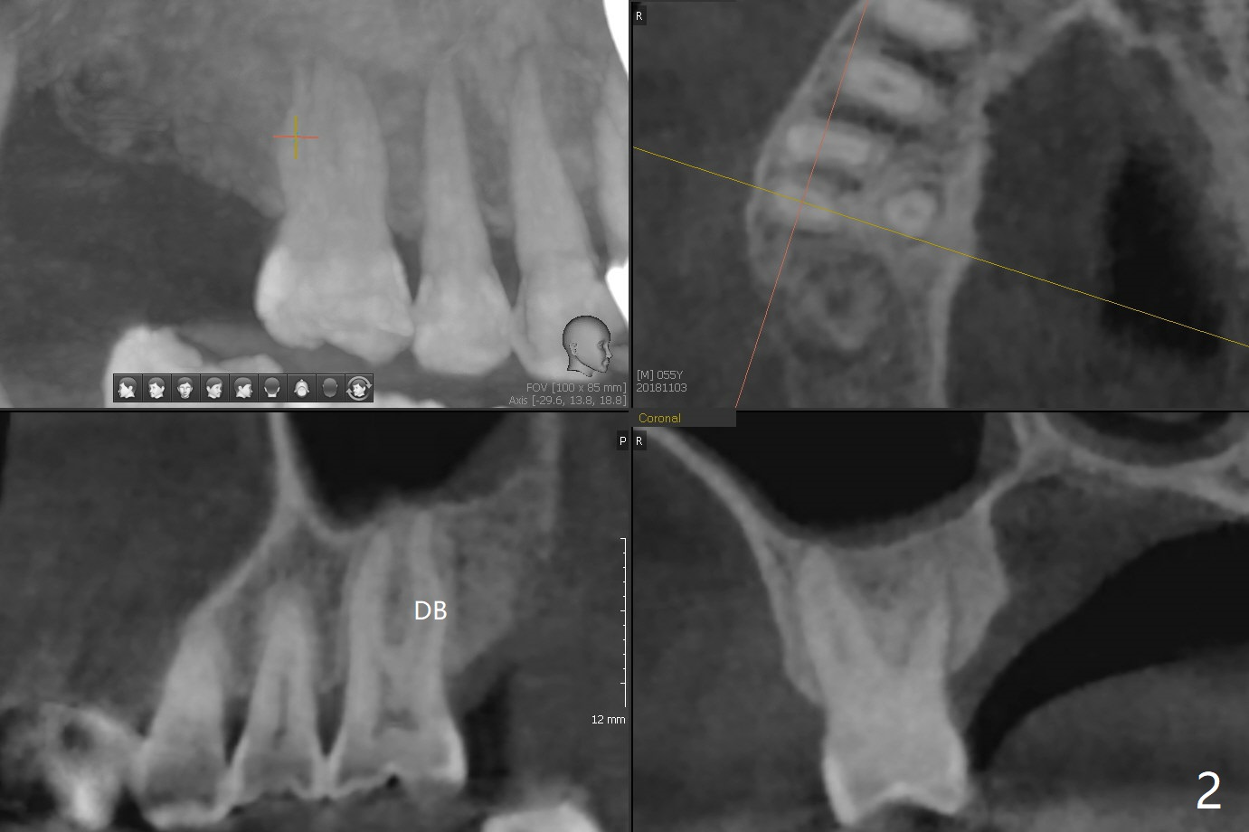
DB:远中颊侧,似乎穿过窦底,术中牙槽窝低软,但是没有漏气。

牙裂     Last     Next

Xin Wei, DDS, PhD, MS 1st edition 09/11/2020, last revision 07/03/2021