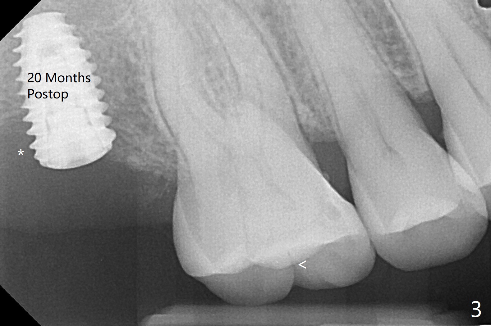
57岁男咬合力大,在右上7植体愈合中,6(3号牙)出现隐裂(图三),*:右上7植体远中缺骨。Uncover时植骨。

牙裂     Last     Next

Xin Wei, DDS, PhD, MS 1st edition 09/11/2020, last revision 09/11/2020