![]() |
![]() |
|
![]() |
![]() |
![]() |
Clearance from Curved Root
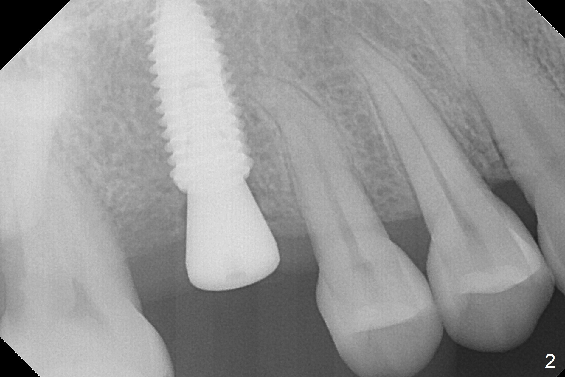
In order to place a 5x11.5 mm implant at #3 completely in depth, the preop CBCT coronal section is reanalyzed (Fig.1). It appears that extra 1 mm osteotomy does not perforate the sinus floor. After finishing osteotomy according to the guide plan, a 3.5x13 mm drill is used ~ .5 mm shy of the depth without sign of sinus membrane leakage. The implant is placed with apparently satisfactory depth, but it is quite close to the curved root tip of the neighboring tooth (Fig.2,3). In fact postop CBCT shows that there is a clearance (Fig.4). To prevent the similar event in the future, the implant should be designed slightly distal. The postop CBCT also shows that the extra depth is not necessary (Fig.4 *); it seems that the inherent 1.2 mm drill tip is sufficient for the depth overprep. The implant is stable for impression 6.5 months postop (Fig.5), whereas that placed immediately free hand is unstable 7.5 months postop. Two weeks later, the patient experiences severe pain when the abutment is being retightened. The crown at #3 is delivered 3 months later (9 months postop). It appears that the bone heals slow in this patient.
Return to Upper Molar Immediate Implant, Armaments Xin Wei, DDS, PhD, MS 1st edition 05/17/2018, last revision 02/22/2019