![]() |
![]() |
|
![]() |
![]() |
![]() |
Bruxism
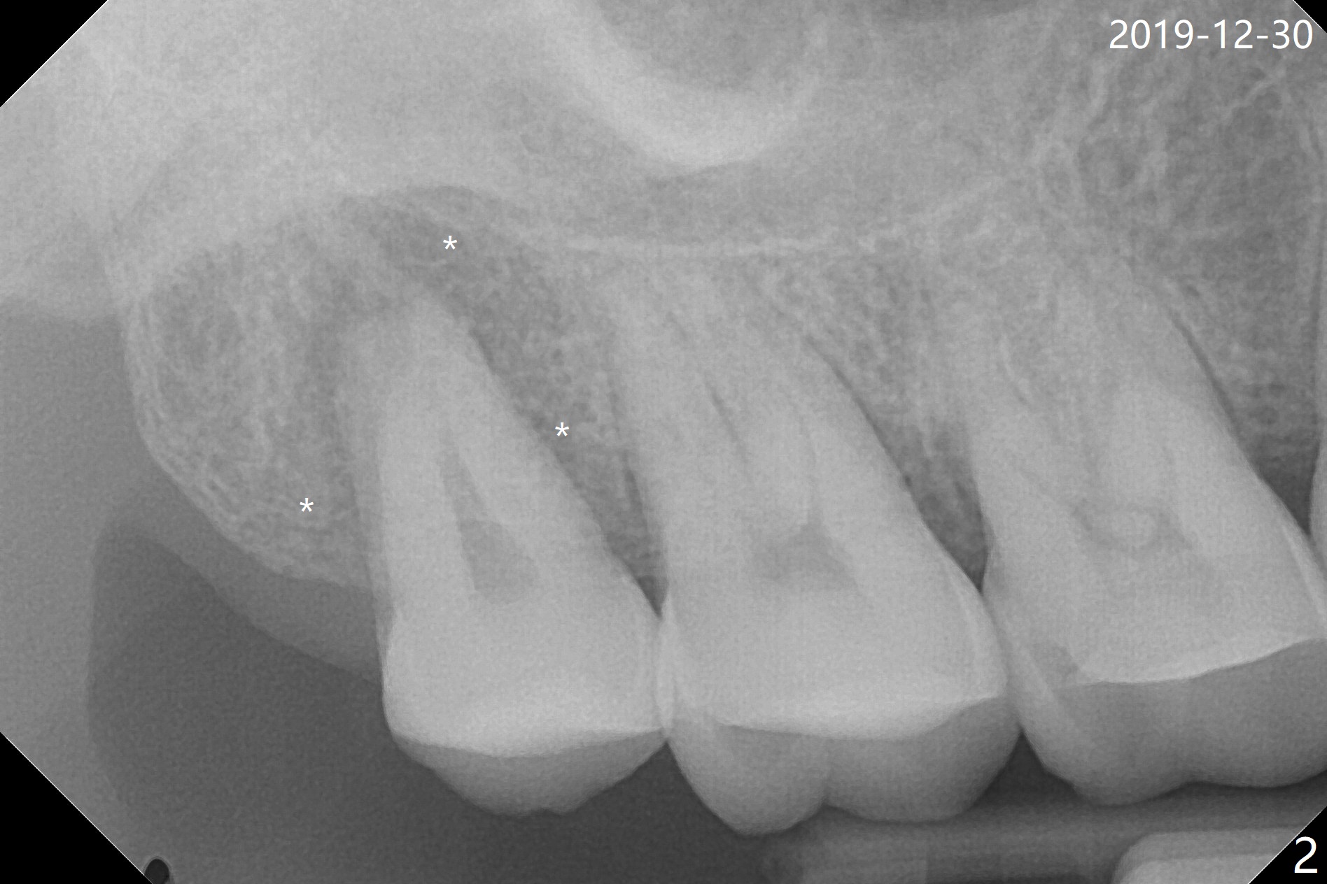
A 56-year-old woman returns to clinic with chief complaint of upper right discomfort (Fig.1) 9 months post #15 implant placement. Clinical exam does not reveal significant finding (periradicular radiolucency (PRRL) at #1 (*) is neglected). Six months later, PRRL at #1 is enlarged (Fig.2 *) with palatal gingival recession, pockets and BOP. The tooth is extracted; its palatal plate is lost, which is consistent with CT taken ~ 1 year earlier (Fig.3). Moreover, the palatal root is incidentally found to be have fractured at #2 (Fig.3,5 *), in the same manner as the tooth #15. Bone loss and root fracture are related to bruxism. Since the tooth #32 is present, an immediate implant could have been placed at #1 (Fig.4).
Return to
Upper
Molar Immediate Implant,
Prevent Molar Periimplantitis (Protocols,
Table)
Trajectory
Shield
Xin Wei, DDS, PhD, MS 1st edition
12/30/2019, last revision
01/01/2020