![]() |
![]() |
|
![]() |
![]() |
![]() |
小鲜肉
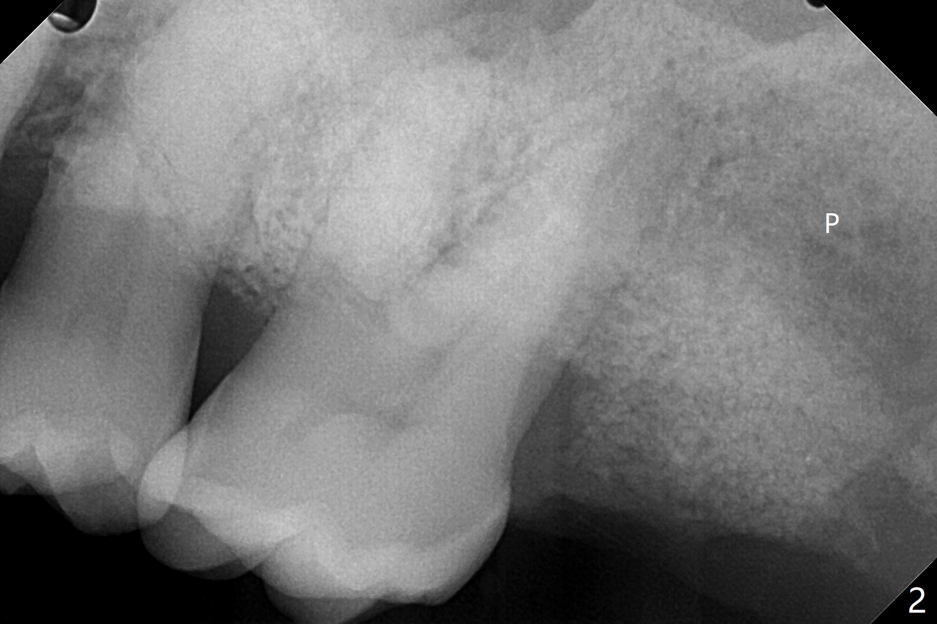
53岁黑男要求拔除松动,剧烈疼痛的左上7(图一(*:上颌窦底板)),同意植骨,分期付款。拔牙后牙槽窝硕大,有许多难以刮除的肉芽组织,出血多,颊侧骨壁应该缺失。在放置GEM21S人工合成骨和异体骨(主要部分)前,在牙槽窝深部放置两个Osteogen塞(图二:P,止血,所谓胶原骨,另外一种人工合成骨),覆盖不可吸收膜,PTFE缝线,间隙保持器,牙周敷料。由于对合牙是智齿,垂直高度有限,放置保持器和敷料有困难。去除炎性肉芽组织,使用两个大小不太带齿刮匙,血管钳,特殊镊子以及带金刚石镊子(图三),反复多次使用自配生理盐水(图四)冲洗。
Return to No Caries 植牙后感染 植牙,导板与正畸 第一磨牙即种
Xin Wei, DDS, PhD, MS 1st edition 01/04/2021, last revision 04/30/2021