![]() |
![]() |
![]() ![]() |
![]() |
No Treatment for Mucocele
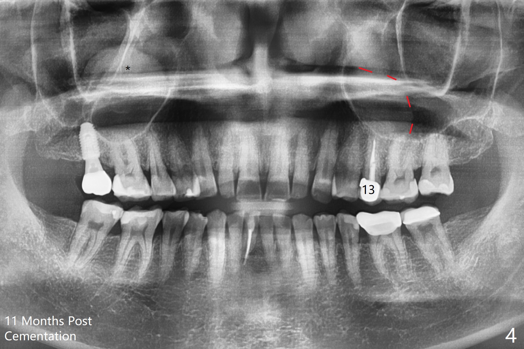
A 5x10 mm implant, placed in the buccal socket, achieves insertion torque of >55 Ncm after underprep (last drill 4 mm, as compared to 4.5 mm for normal prep). There is limited break of the sinus floor (Fig.1 arrowheads). No treatment is rendered for the mucocele. The implant heals without tenderness over the anterior sinus wall nearly 4 months postop (Fig.2). A crown is cemented 6 months postop (Fig.3 (5.2x4(4) mm abutment)); there is no gap between the abutment and implant, as compared to Fig.1,2 (6.5x4(3) mm). The implant functions without sign or symptom of bilateral sinusitis (no percussion associated with the tooth #13) 11 months post cementation (Fig.4). In fact the abutment is incompletely seated (Fig.5: <). Bone profile drill should be used to trim the mesial crest before reseating crown/abutment.
Return to
Upper
Molar Immediate Implant,
Prevent Molar Periimplantitis (Protocols,
Table),
Trajectory
Next Case
第二磨牙即种
Xin Wei, DDS, PhD, MS 1st edition
07/12/2019, last revision
06/27/2021