![]() |
![]() |
![]() |
![]() |
![]() |
![]() |
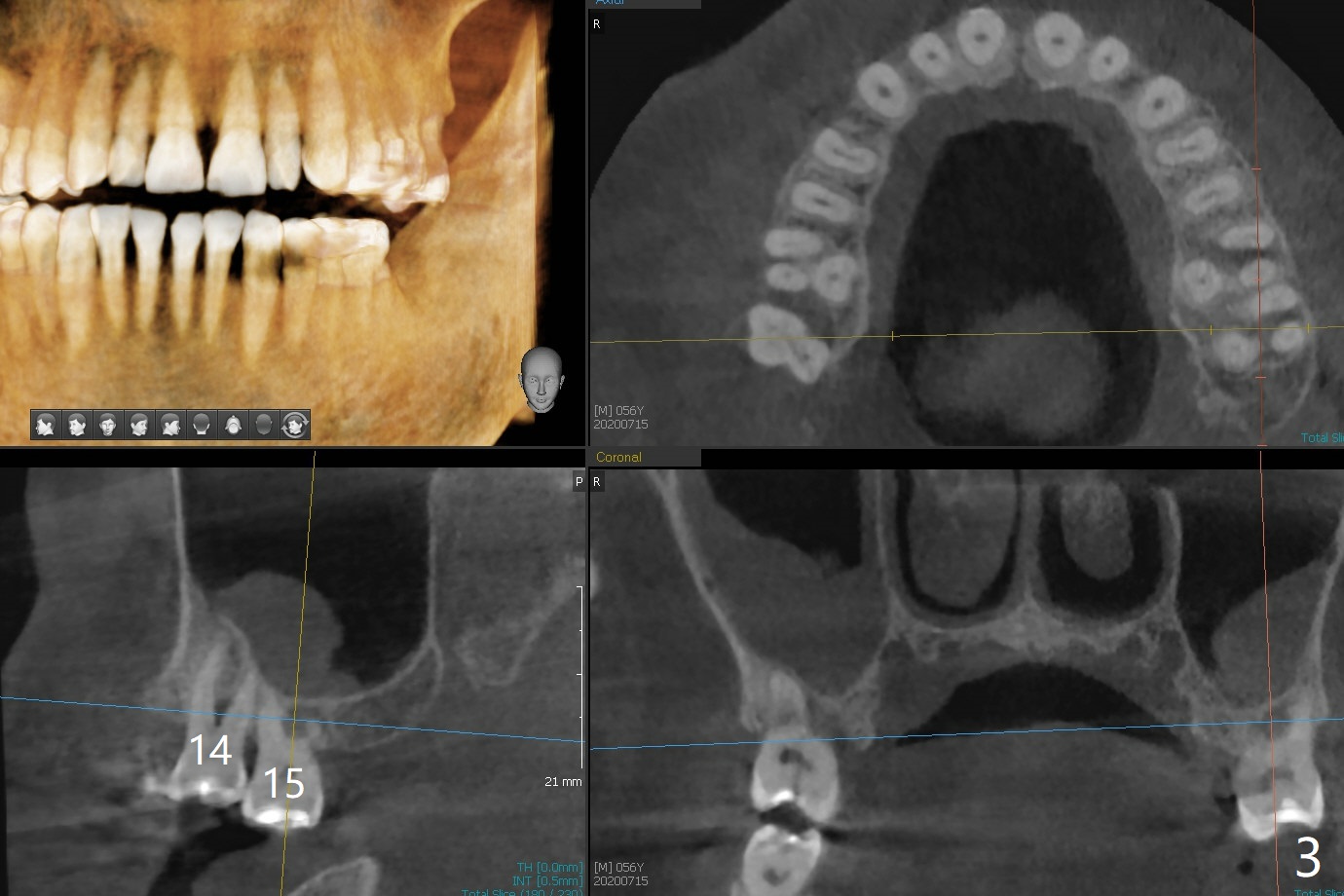
Mucous Retention Cyst
A 56-year-old man (smoker) has pain at #2 (Fig.1-3 thickened sinus membrane (R>L), C: mucous retention cyst) associated with subgingival crack (Fig.4 arrowheads). A 5x8.5 mm implant will be immediately placed with sinus lift aided by PRF membrane (Fig.5). A narrow implant will be placed at #30 (Fig.6).
Return to Prevent Molar Periimplantitis (Protocols, Table) No Deviation Clindamycin Webinars 开场白 愈合的类似病例。Surgery Xin Wei, DDS, PhD, MS 1st edition 07/15/2020, last revision 08/10/2020