![]() |
![]() |
![]() |
![]() |
![]() |
![]() |
![]() |
![]() |
Free Hand Immediate
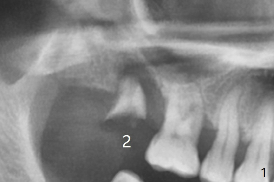
After extraction of the tooth #2 (Fig.1), osteotomy is supposed to be initiated in the mesial slope (Fig.2 arrow). With Magic Expanders (3-4.8 mm), osteotomy ends up in the bottom of the socket (Fig.3). Trajectory is found to be off when 4x9 and 5x9 mm dummy FC implants are placed with stability (Fig.4,5). The final implant, Magicore (5x7(3)mm, >29 Ncm), appears to be placed too deep for restoration (Fig.6,7); a screw retained crown may be a solution. PRF membrane and Vanilla (allograft) are used for sinus lift (no sinus membrane perforation). Following Vanilla graft in the socket gap (Fig.6 *), another piece of PRF membrane is used to cover socket opening. The membrane is fixed in place with suture and periodontal dressing. The implant seems to have osteointegrated 3.5 months postop (Fig.8). After change to 4.3x5 mm solid abutment and mesial surface adjustment, impression is taken for early loading because of removal of #14 implant. In fact the patient is satisfied with mastication improvement at #2 later on.
Return to
Upper
Molar Immediate Implant,
Prevent Molar Periimplantitis (Protocols,
Table),
Armaments,
Magicore Cases,
14
Redo
with Expanders
Xin Wei, DDS, PhD, MS 1st edition 09/27/2018, last revision 02/17/2019