![]() |
![]() |
![]() |
![]() |
Short
Implants
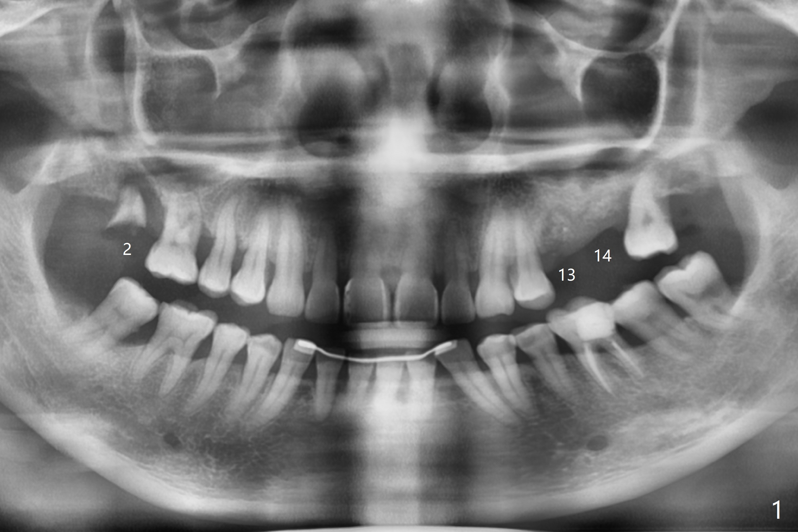
A 51-year-old woman with apparent chronic periodontitis (Fig.1) has the teeth #13 and 14 extracted with socket preservation in her home country 3 months earlier (Fig.3,4). The bone height associated with the residual roots at #2 is short; a 5x7.3 mm implant seems to be appropriate (Fig.2). Use Magic expanders and sinus lifter. The implant will be Magicore or consistent with those at #13 and 14. Prepare 2 pieces of PRF membrane for sinus lift and buccal defect. Osteotomy at #13 should be palatal (Fig.3 red line instead of blue one) to obtain more of the apical native bone for primary stability. Prescribe Augmentin after sinus lift. Osteotomy at #14 should be a little bit more distal because of the mesial shift of the tooth #15 (Fig.4). Early provisional to hold the edentulous space and limited ortho may be required. A guide will be made for #13 and 14.
Return to
Upper
Molar Immediate Implant,
Prevent Molar Periimplantitis (Protocols,
Table),
Armaments,
Clindamycin Metronidazole
No Antibiotic,
Ortho Cases
Xin Wei, DDS, PhD, MS 1st edition 08/03/2018, last revision 09/27/2018