![]() |
![]() |
![]() |
![]() |
Sinus Lift
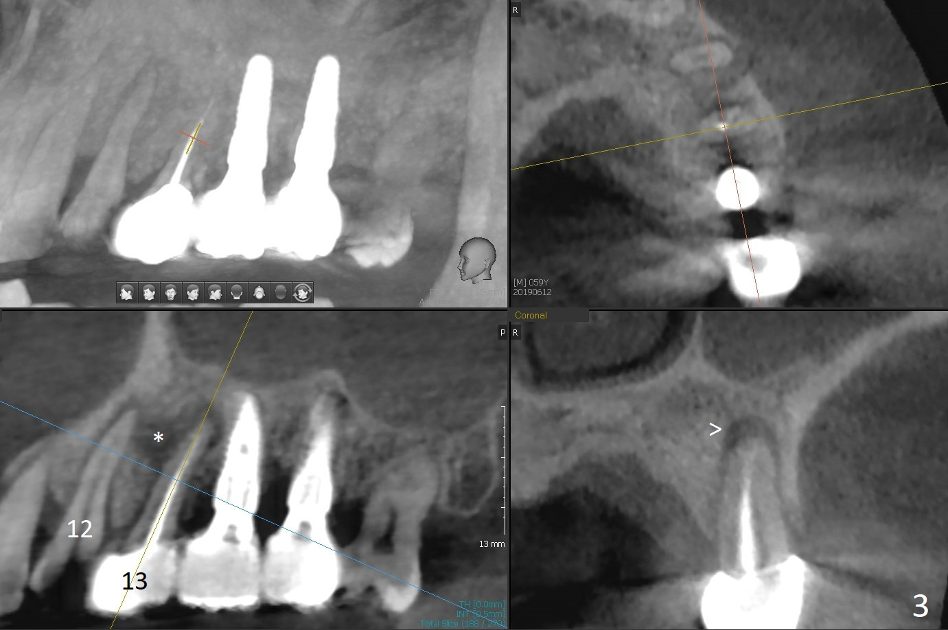
A 59-year-old man requests implant at #2 after those at #5, 14/15, and 29 (Fig.1). Sinus lift is required at #2 (Fig.2). Prepare PRF and SM implant (to be consistent with the previous ones without screw loosening). Although there is periapical radiolucency at #13 (Fig.3 >), there is another between #12 and 13 (Fig.3 *), which may be related to the apical infection at #12 (Fig.4 <).
Return to
Upper Molar
Immediate Implant, Trajectory
II
Xin Wei, DDS, PhD, MS 1st edition
06/12/2019, last revision
08/01/2019