![]() |
![]() |
|
![]() |
![]() |
![]() |
![]() |
![]() |
|
Identify Defect Area I
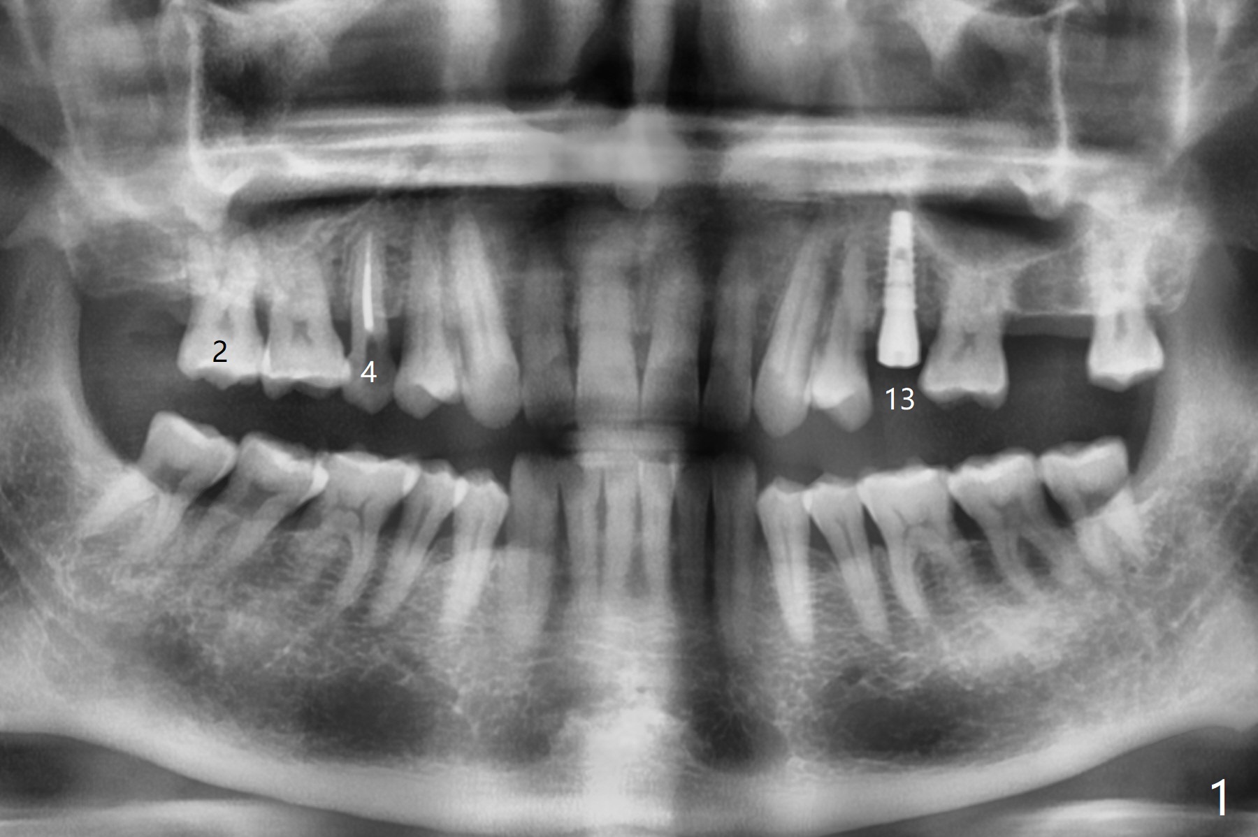
After implant placement at #13 six months post bone graft (Fig.1), reexami-nation shows that the tooth #2 cracks (Fig.2-4). The bony defect area is easier to identify with CT (between MB and P roots of #2) than without CT (M) for #13. There is no bone height reduction after extraction of #15 (Fig.5). Due to new coronal virus outbreak, the patient wants extraction first. The sinus floor perforates (*) apical to MB (Fig.6) and DB (Fig.7) roots. After debridement, sinus lift will be conducted using allograft hydrated with GEM21S liquid portion. The same mix will be used for socket preservation. With high concentration of growth factor, it is hoped that bone density in the sockets will increase quick and high enough for future implant, as compared to #13 of the same patient.
Dr. Lynch: Tomorrow sinus lift will be conducted through #2 extraction sockets. Is GEM21S liquid portion indicated? Thanks. On Mar 17, 2020, at 8:00 PM
Yes, there have been several peer reviewed publications using rhPDGF plus mineralized allograft in sinus lifts. Good results. Some surgeons use same mix as in sockets, while others use this mixture and add in a little bone xenografts particulate such as GEM Bone Graft for their sinus grafts.
Return to
Prevent Molar Periimplantitis (Protocols,
Table)
No Deviation
Metronidazole
GEM21S
Cases
Xin Wei, DDS, PhD, MS 1st edition
03/10/2020, last revision
04/01/2020