![]() |
![]() |
![]() |
![]() |
![]() |
![]() |
![]() |
|
![]() ![]() |
|
Profile Drill I
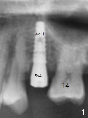
When a 4x11 mm FC is placed to the depth at #13, the palatal crestal bone is indistinct on probing. The implant is then placed ~ 1 mm deeper. To avoid contact between the future abutments and the mesiobucco-distal crest, a 5.5 mm profile drill is used. It appears that a 5x4 mm healing abutment has clearance from the crest (Fig.1,2 C). Immediate postop CT 3 D palatal view shows slight possible implant (Fig.3 I) thread exposure disto-palatal. To avoid this situation, the implant should have been designed more buccal (Fig.4 coronal section) because of the preexisting palatal defect (Fig.5,6) with low bone density palatocoronally (Fig.7). CT should have been taken prior to extraction. PRF or GEM21S should have been used. The patient will return for restoration (probably progressive loading) 3 months postop. In fact a pair abutment is placed 6 months postop (due to coronavirus, Fig.8). There is crestal bone palatal to the implant 6.5 months postop (Fig.9).
Return to
No Deviation 2
(I)
Xin Wei, DDS, PhD, MS 1st edition
03/10/2020, last revision
09/29/2020