![]() |
![]() |
![]() |
![]() |
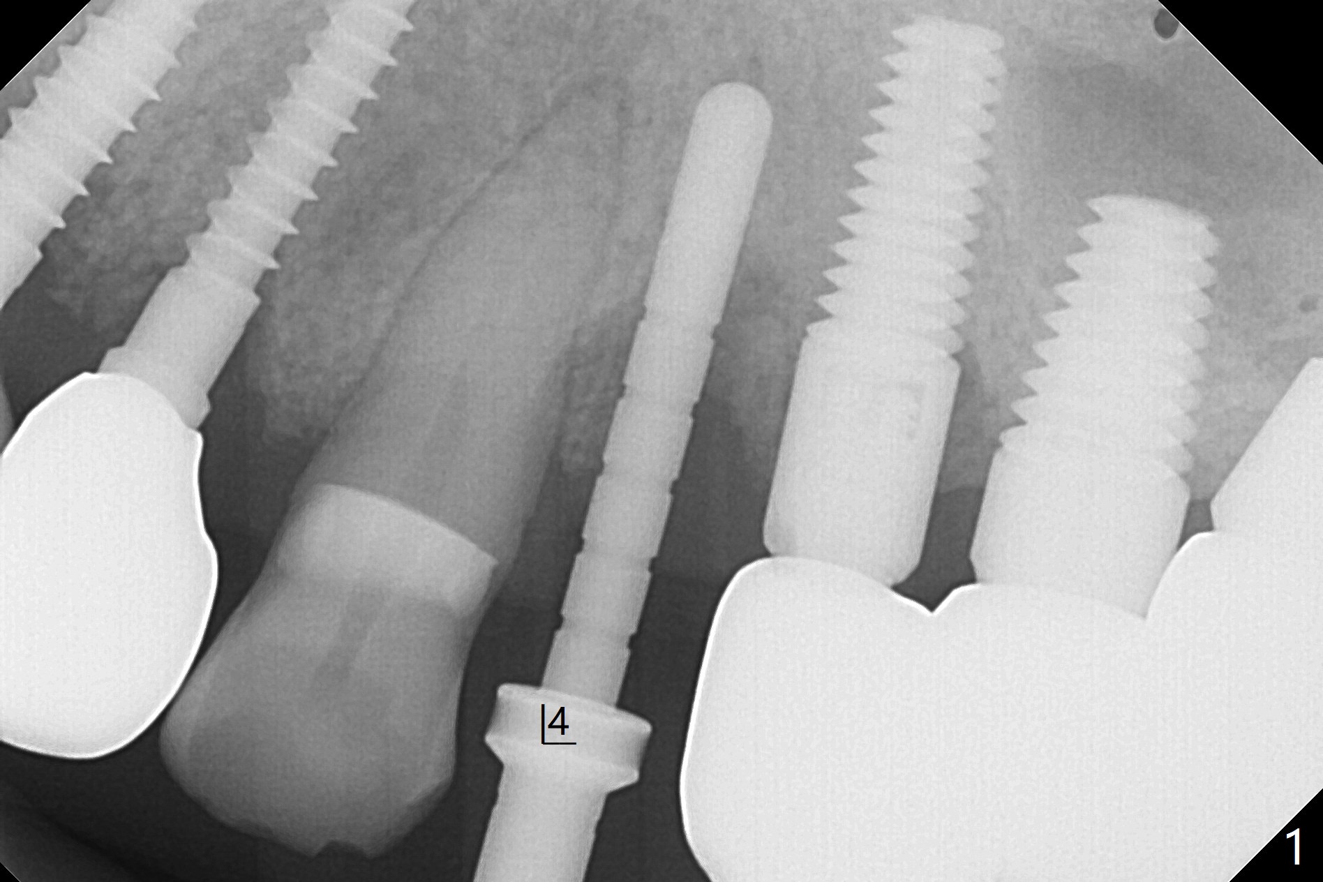
狭窄近远中间隙
66岁男士口腔卫生好,但是许多牙齿可能因为咀嚼力太大,骨质吸收而失去,包括左上四(没有颊侧骨板),拔除后2毫米钻头显示钻洞接近尖牙(图一),好像不容易改变钻洞位置,病人对手术恐惧,干脆植入一段式植体(图二,三)。植骨后(图二*),制备即刻临时牙冠。后者戴入前不小心颊侧边缘过度修正,就在原位添加树脂,两周后显得胖些(图四 *),远中形成倒凹,不容易取出,只好稍微修正。
Return to
No Deviation
3
8/9
14
15
19
30
Xin Wei,
DDS, PhD, MS 1st edition 08/18/2020, last revision
04/18/2021