上颌前臼齿植牙不要太腭侧

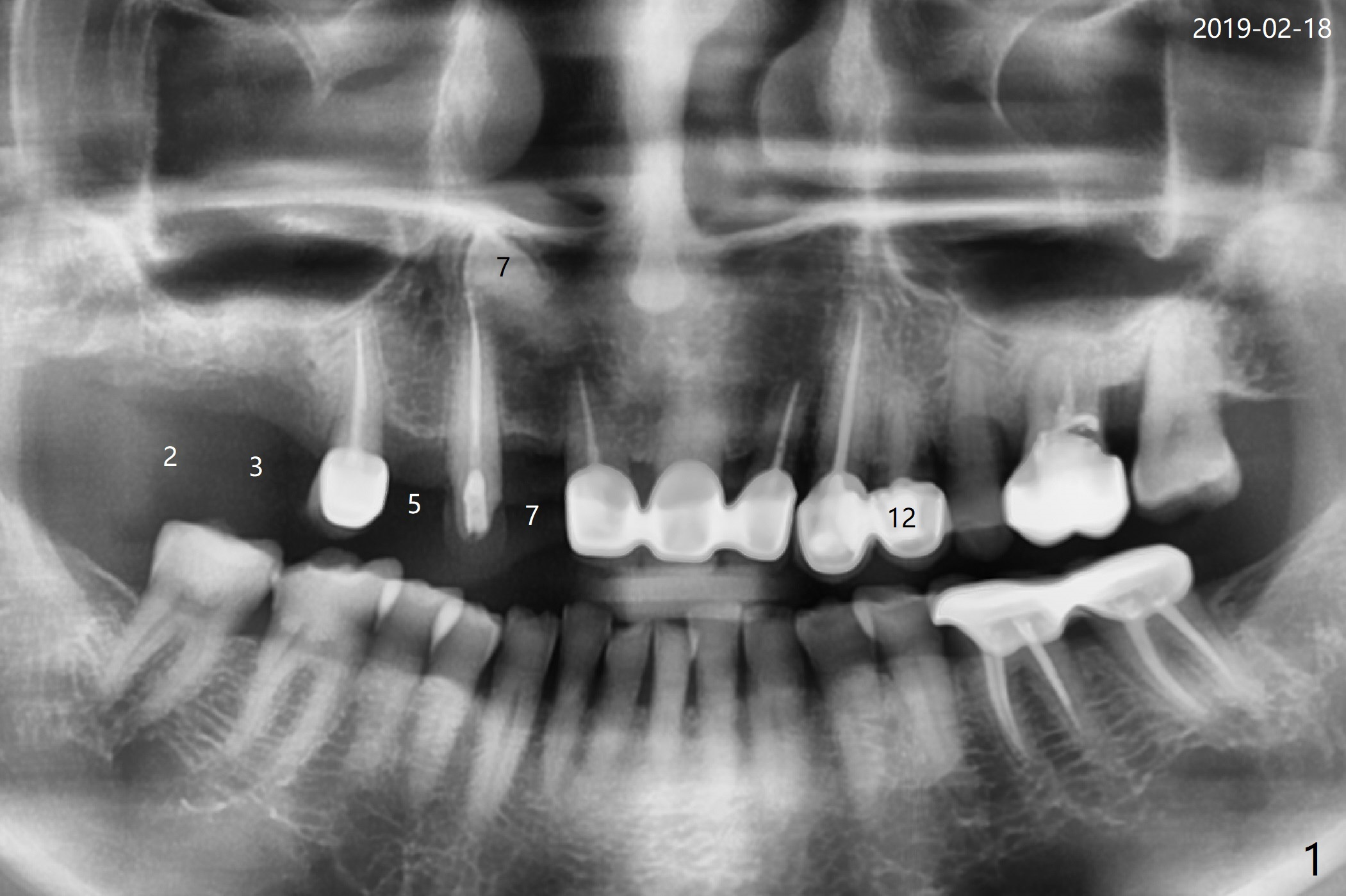
68岁女右上4个植牙后(图一),左上4(12号牙)根尖周围炎,根管闭锁(图二),牙周袋9毫米。切割3,4连冠,拔除4,为了减少腭侧骨板吸收,植体也不要植入太腭侧(图三,四)。其实顺腭侧根钻洞偏近中,很难纠正,最后位点保存

Return to Trajectory No Caries Clindamycin 前磨牙即种  101 Xin Wei, DDS, PhD, MS 1st edition 11/27/2020, last revision 05/13/2021