![]() |
![]() |
![]() |
![]() |
![]() |
|
![]() |
![]() |
![]() |
![]() |
![]() |
|
![]() |
![]() |
![]() |
![]() |
||
![]() |
![]() |
![]() |
|||
![]() |
![]() |
||||
徒手即刻种植失败
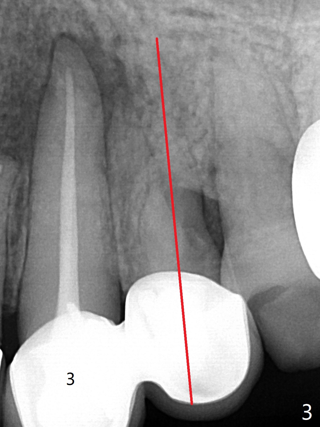
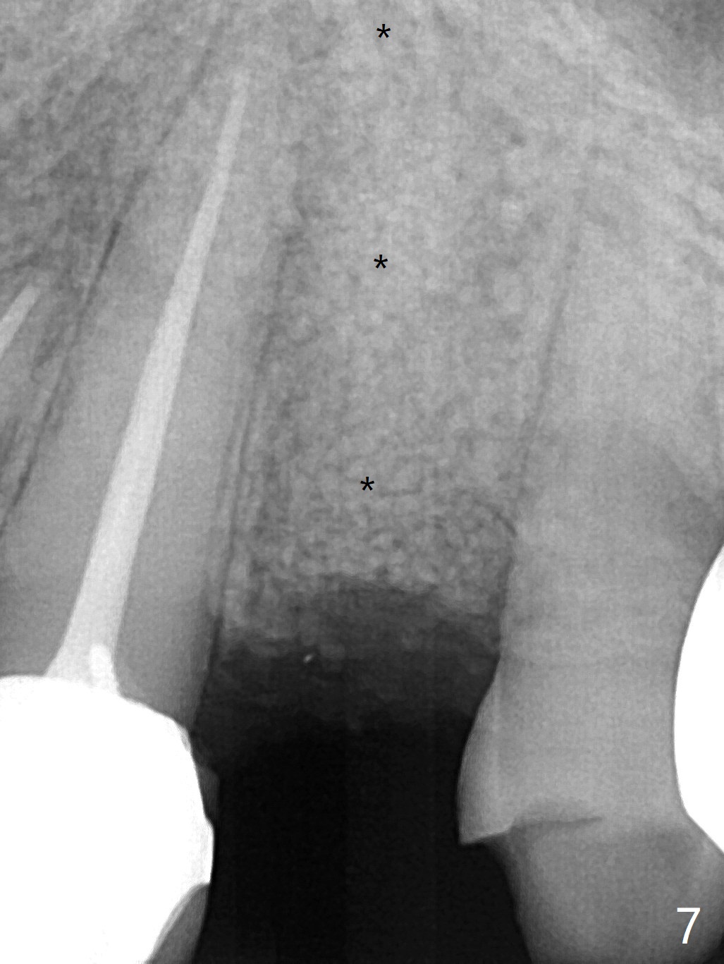
68岁女左上4颊侧瘘道(图一:*),与根尖颊侧骨板缺失相通,其实腭侧根尖周围病变更大(也与颊侧窝相通),术中没有注意腭侧根接近3(图二:P),稀里糊涂的基本顺着腭侧根(颊侧)走向钻洞(图四,与图三理想方向对比),突然记起术前设计钻洞必须在腭侧牙槽窝远中颊侧,在远中建立新洞眼(图五),之后无法再次建立新洞眼,只好利用同一个侧面切割钻头将钻洞往远中移位,同样效果不佳(图六),最后只好放弃,放置粘性骨粉(图七:*),覆盖PRF膜,6个月胶原膜,PGA缝线,牙周胶水。术后重新分析表明顺着腭侧牙槽窝种植与尖牙还是有分离(图八,九:*),因为牙槽窝是斜型的(图十:黑色),不过离颊侧骨板也接近(图八:B)。所以钻洞必须斜型针对远中骨壁,表浅些(图十一:红色箭头);一旦进入骨板,改变角度(图十二:红色箭头),适当矫枉过正,随着植体增大,钻洞会往近中偏移(白色箭头)。最好植体方向理想(图十三)。不过植骨后钻洞偏移可能性比较少。缝线和牙周胶水似乎是一个稳妥固定胶原膜方法。术后病人抱怨水肿严重,术后八天颊侧根尖隆起是由于骨粉推出骨板之外(图十五,十六:*),上颌窦底板无意穿孔(^)伴有上颌窦膜(M)增厚,与术前对比(图十七:上颌窦窦腔清晰)。术后一个月6个月吸收膜不见了,大多数缝线已经脱落,最后两根缝线撤除后,牙槽窝开口已经关闭,好像主要成分是骨粉(图十八)。术后5个月牙槽嵴宽,角化龈也宽,好像可以植入4x11.5毫米植体(图十九)。
Return to
Trajectory
前磨牙即种
手术
101
Xin Wei,
DDS, PhD, MS 1st edition 12/10/2020, last revision
05/13/2021