![]() |
Splinted Provisional
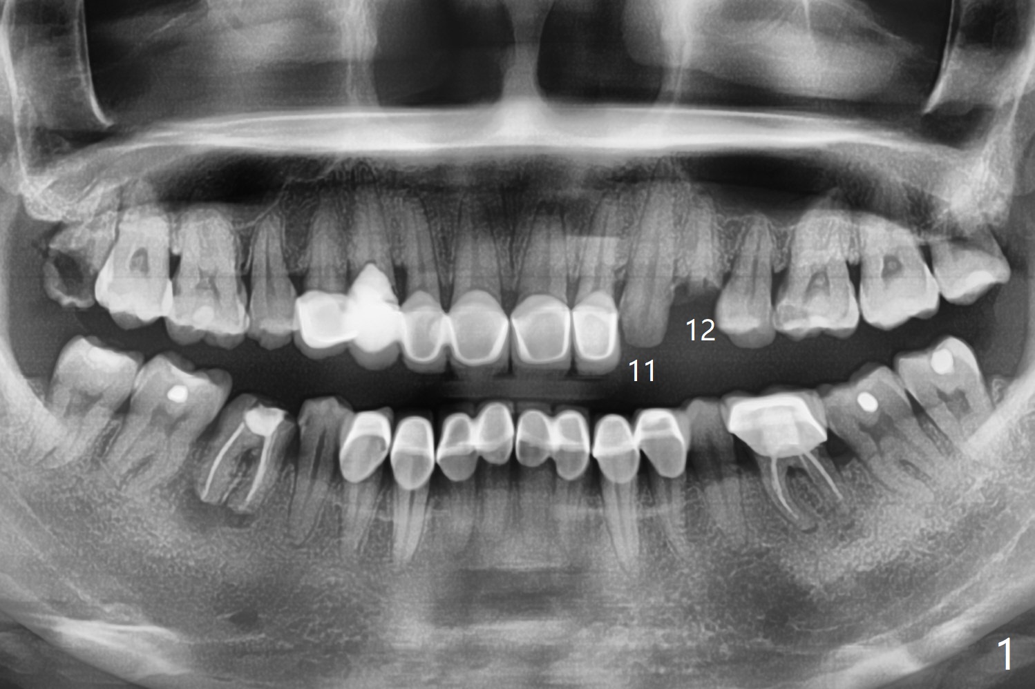
A 44-year-old woman has multiple restoration, partially related to Tetracycline teeth (Fig.1). Splinted crowns at #11 and 12 have dislodged. Since the bone height is limited, a 4x11.5 mm IS implant with high stability will be chosen. The immediate provisional will be splinted.
Return to
Upper
Premolar Immediate Implant,
Armaments,
Metronidazole
Xin Wei, DDS, PhD, MS 1st edition 01/31/2018, last revision 08/12/2018