![]() |
![]() |
![]() |
|
![]() |
![]() |
![]() |
|
Short, but Stable Implant
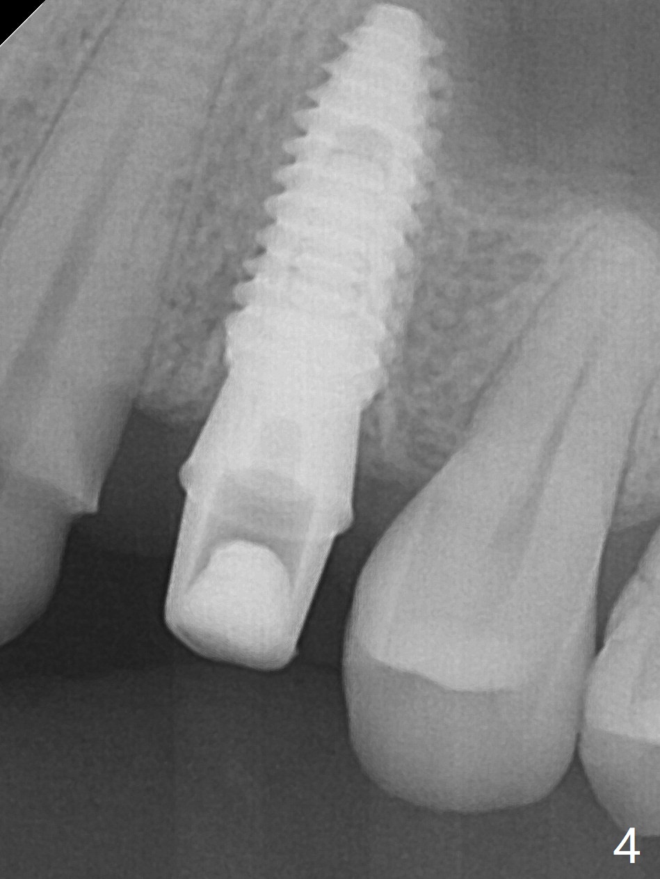
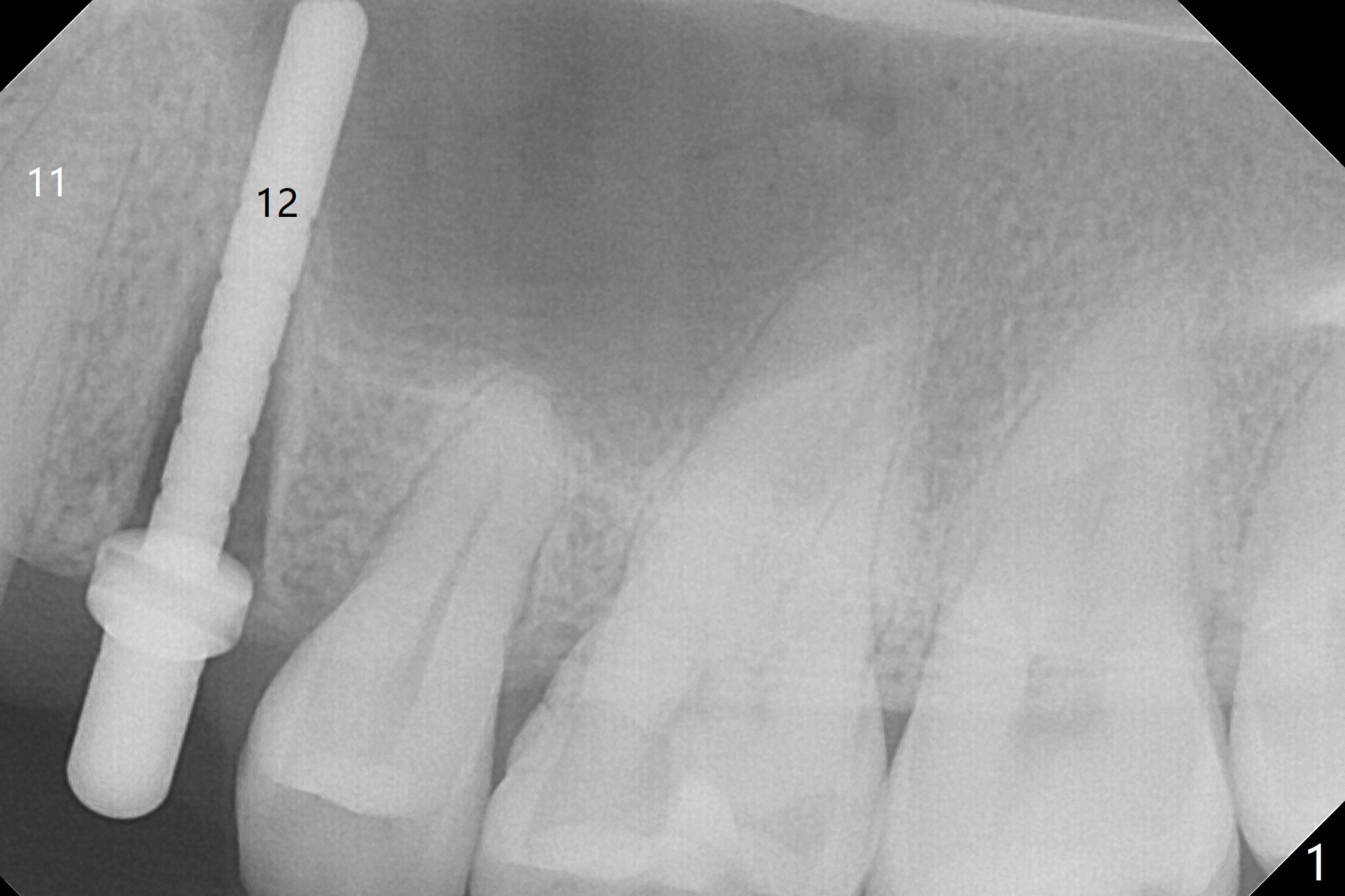
After extraction of the residual roots at #12 and crown prep at #11, osteotomy at #12 is established with Pointed Lindamann bur and 2.2 mm bur for ~ 15 mm. There feels to be sinus floor perforation; a parallel pin is inserted deeper than expected (Fig.1), but there is no membrane perforation. Following sequential osteotomy, a 4x10 mm dummy implant is placed partially with stability (Fig.2). When the same sized definitive implant is placed subcrestally (Fig.3-5 (*: Vera Graft)), the stability remains (~60 Ncm) in spite of the fact that the trajectory is changed once. The coronal socket does not seem to heal 8.5 months postop, in part due to poor hygiene of splinted provisional (Fig.6).
Return to
Upper
Premolar Immediate Implant,
Armaments
Xin Wei, DDS, PhD, MS 1st edition 02/06/2018, last revision 10/17/2018