![]() |
![]() |
![]() |
||
|
|
![]() |
![]() |
![]() |
![]() |
4 mm Implant for Premolar
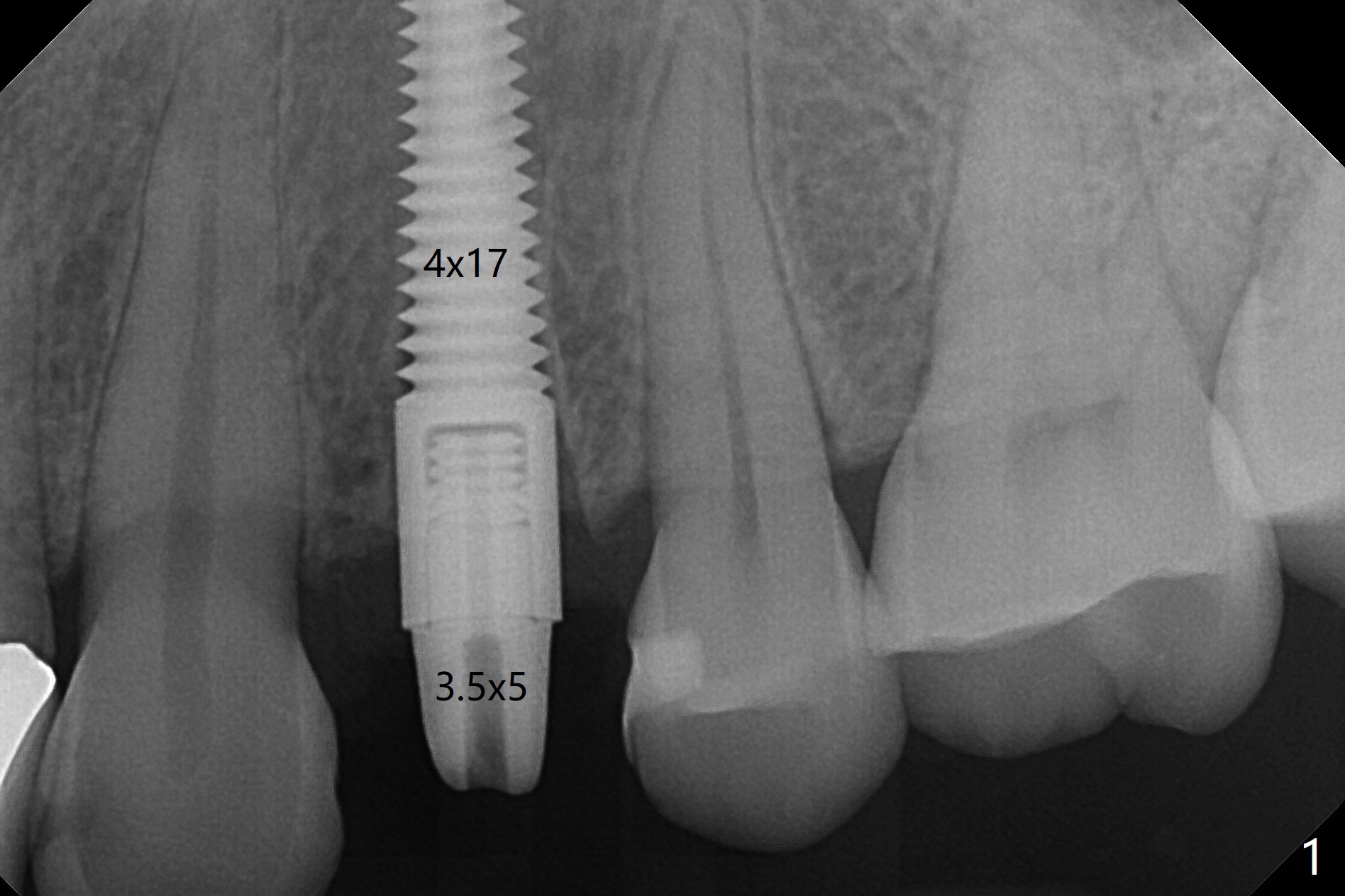
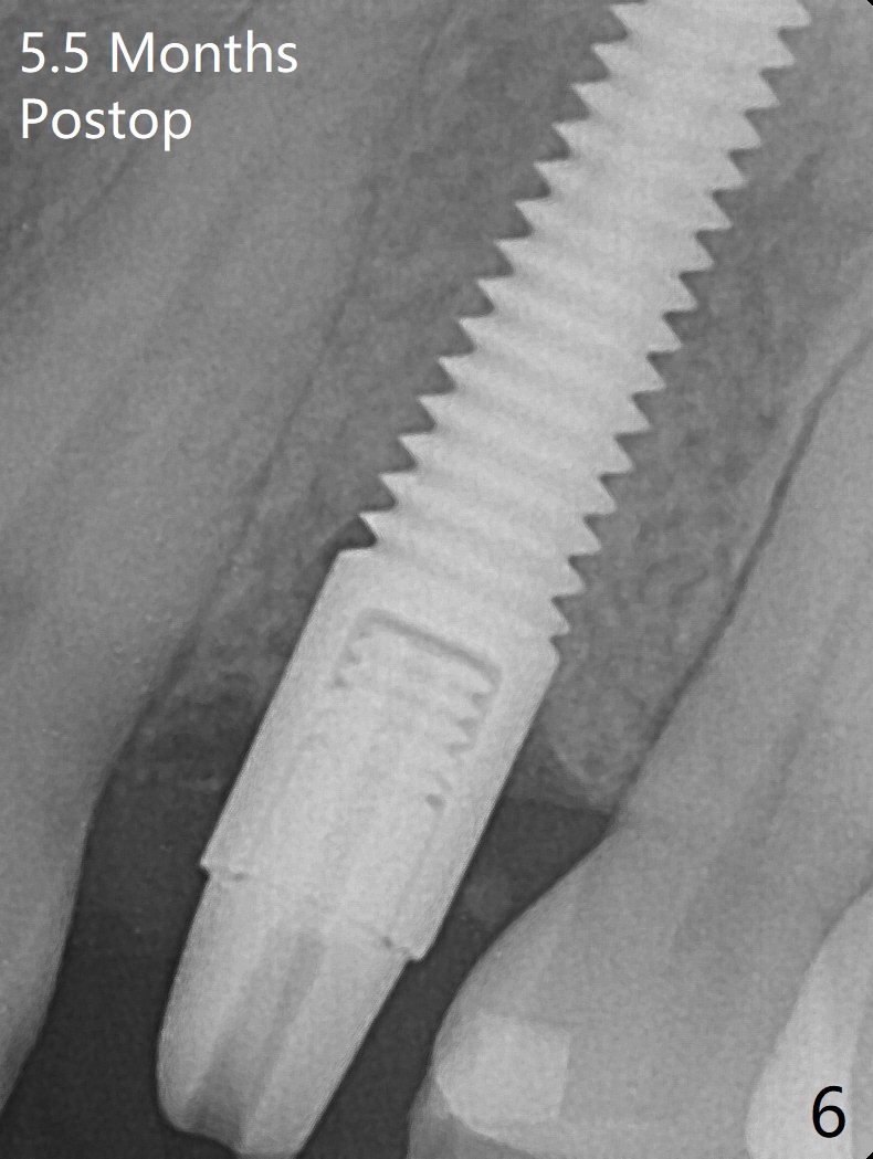
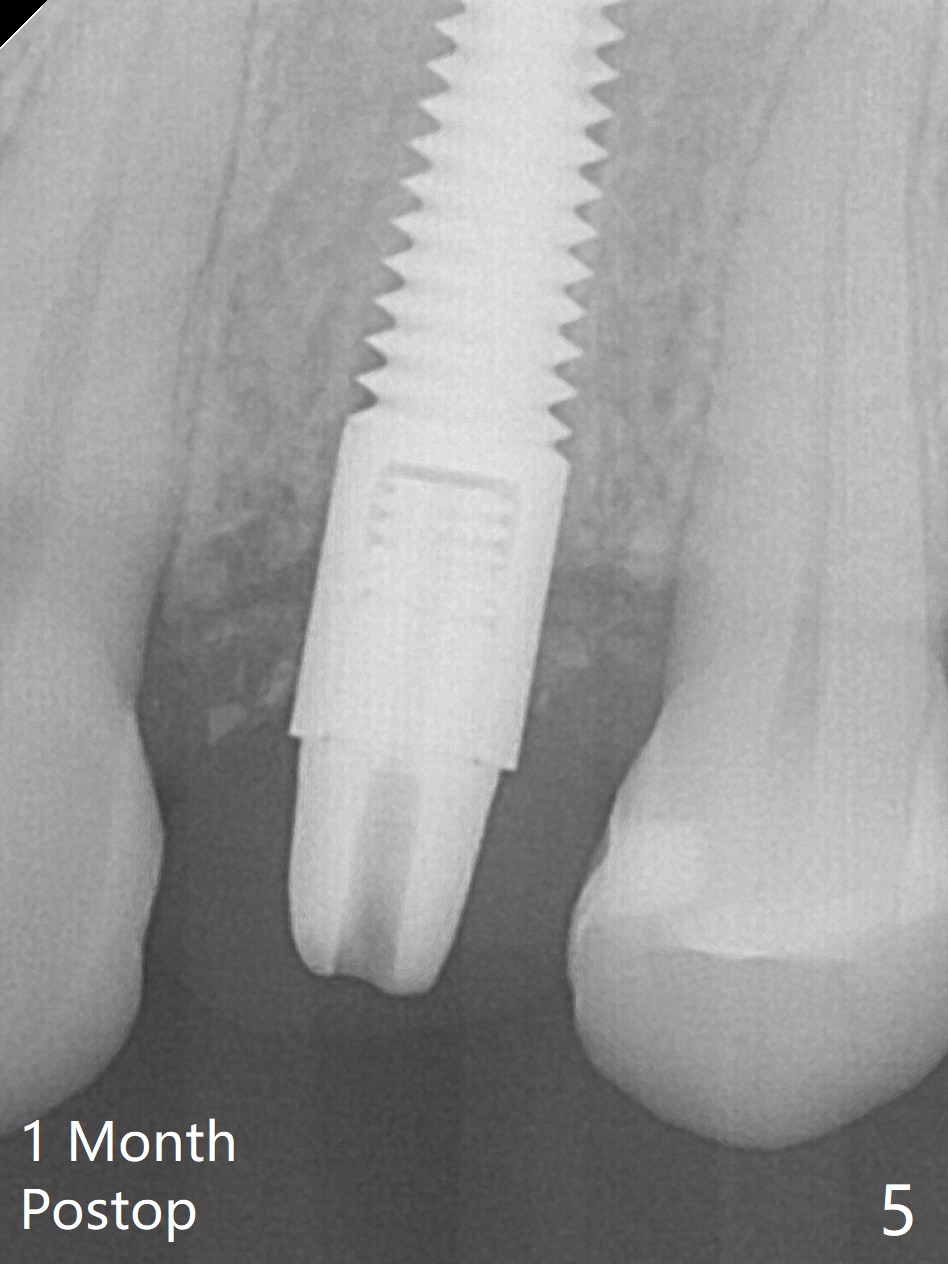
Since there is no buccal plate atrophy at 4, or 8, socket shield is not attempted at #31. Extraction turns out to be difficult because of tooth fracture. The buccal and palatal flaps have to be elevated minimally for tooth sectioning and purchase point formation. More surprising, a 4.5 mm implant appears to be too wide for the space; a 4x17 mm implant achieves insertion torque >60 Ncm (Fig.1,2). In fact Vanilla graft is placed before and after implantation. The advantage of bone graft before implant is that the graft is able to be placed as apical as possible to repair the apical defect if it is present. The disadvantage is hemorrhage. After placement of a 3.5x5 mm abutment, an immediate provisional is fabricated (Fig.3 P), which seems to be able to hold the separated buccal papillae in place. The latter heal around the immediate provisional 9 days postop (Fig.4). Because of the seal, the bone graft remains in place 1 month postop (Fig.5). There is no bone loss 5.5 months postop (Fig.6,7) or 6.5 months postop (immediately post cementation, Fig.8).
Return to Upper Premolar Immediate Implant, Trajectory Xin Wei, DDS, PhD, MS 1st edition 11/01/2018, last revision 09/13/2019