![]() |
![]() |
||
![]() |
![]() |
![]() |
![]() |
Immediate Implant Without Too Much Chance of Periimplantitis
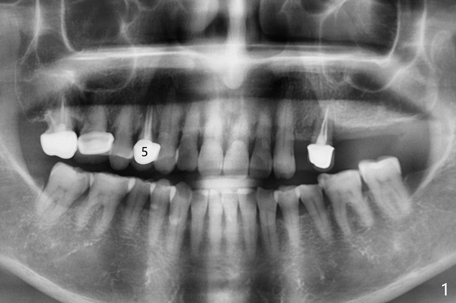
A 74-year-old woman is concerned about buccal fistula of the tooth #5 (Fig.1,2 >). It seems to be safe to place an immediate implant without too much possibility of developing periimplantitis in the future (Fig.3). With guide, restoration could be finished with a 15 degree angled abutment. Remove granulation tissue from the buccal fistula and from the socket. Place a piece of PRF membrane externally (tunnel incision, Fig.4-6 red line) or internally (from the socket) before bone graft (before and after implant placement (Fig.5,6 yellow circles)). Take 5x5 cm CT immediately postop to confirm the repair.
Return to
Upper Premolar
Immediate Implant,
Trajectory
II,
Metronidazole,
Next Case
Xin Wei, DDS, PhD, MS 1st edition
07/25/2019, last revision
08/18/2019