![]() |
![]() |
|
![]() |
![]() |
![]() |
Buccal Apical Defect
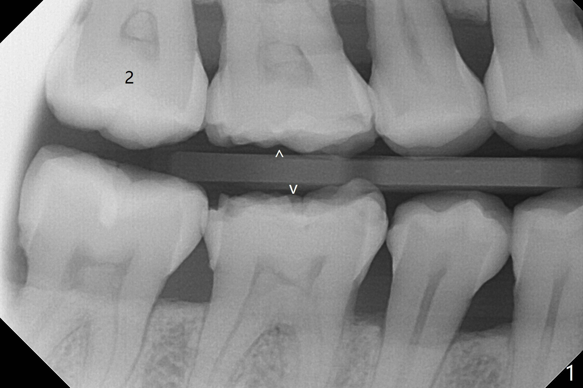
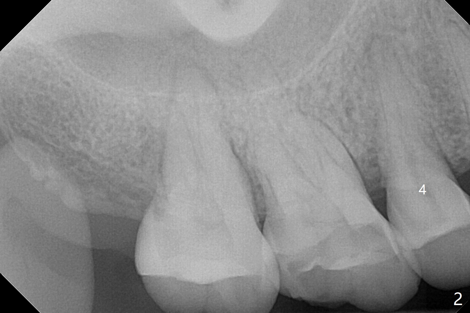
A 52-year-old woman had palatal periodontal infection at #2 a half month earlier (Fig.1,2), which was treated with Arestin. When she returns, the tooth #4 has palatal subgingival oblique fracture (Fig.3 <), interfering with mastication. Due to emergency, free hand immediate implant is planned. The buccal apical defect (Fig.3 *) will be repaired with PRF membrane (x1) and allograft after osteotomy (with gauze in place). A 4.5x20 mm tissue-level implant will be placed (Fig.4) instead of a bone-level one (Fig.5).
Return to Upper Premolar Immediate Implant, Trajectory II, Clindamycin Xin Wei, DDS, PhD, MS 1st edition 08/17/2019, last revision 08/27/2019