![]() |
![]() |
![]() |
|
![]() |
![]() |
![]() |
|
15 mm Implant
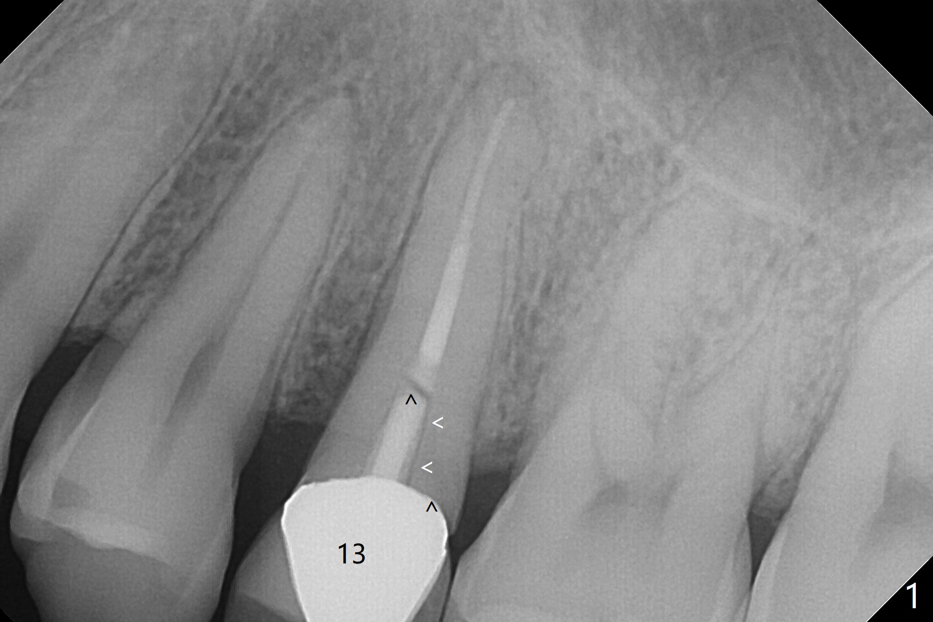
A 56-year-old man returns with chief complaint of a loose upper left tooth. Exam reveals fractured root (Fig.1 arrowheads). The apex is close to the sinus (Fig.2 (CT coronal section) S (B: buccal)). After extraction (Fig.3), start initial coronal osteotomy with a guide (Fig.4 red), ~ 1 mm from the sinus floor. Following sinus lift, PRF and bone graft (Fig.5 yellow circles), finish apical osteotomy and place a 4x15 mm implant (Fig.5,6). An angled abutment is expected (15 degree, Fig.5).
Return to Upper Premolar Immediate Implant, Trajectory, 8 修复 Clindamycin Xin Wei, DDS, PhD, MS 1st edition 12/06/2018, last revision 06/13/2021