![]() |
![]() |
![]() |
![]() |
|
![]() |
![]() |
![]() ![]() |
![]() |
|
![]() |
![]() |
![]() ![]() |
||
Free Hand Immediate Implant with Sinus
Lift
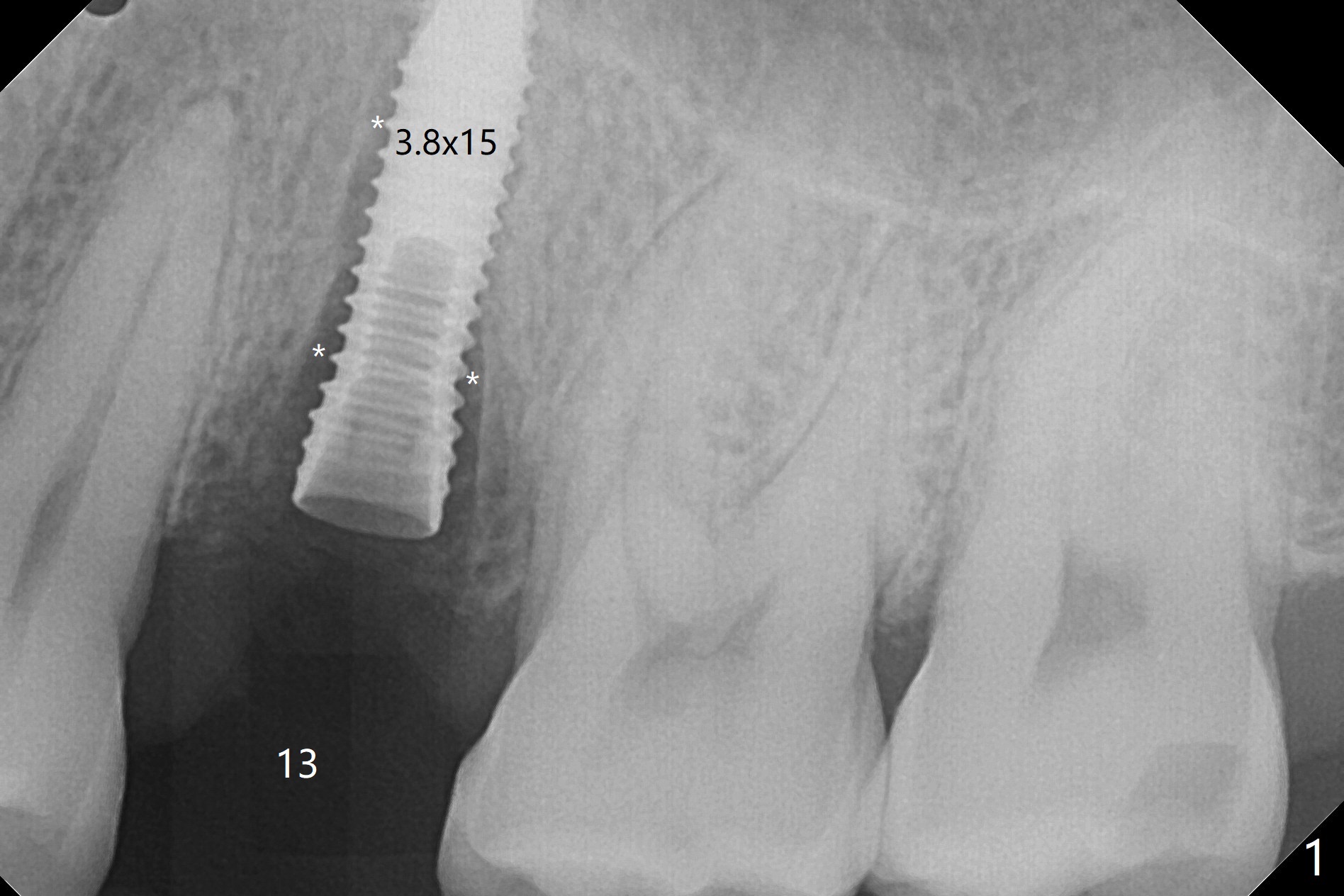
DIO lab refuses fabricating guide because of the large socket and recommends extraction and socket preservation at #13. Due to short apical bone (Fig.5,7), a long dummy implant (3.8x15 mm) is placed with periimplant space immediately post extraction (Fig.1 *). The final implant is larger (4.5x15 mm) with simultaneous sinus lift and periimplant bone graft (Fig.2,6,8 *). To repair the palatal crest defect (Fig.3 *) associated with tooth fracture (Fig.5 white dashed line), the implant is not placed too palatal with sufficient amount of the bone graft (Fig.4,6 *). The native bone (higher in bone density, Fig.9 white arrowheads, as compared to black one (for bone graft)) appears to have grown into the space between implant threads 5.5 months postop. The permanent crown/abutment is loose 1 year 9 months post cementation; after proximal reduction (Fig.10 arrowheads), the abutment is reseated completely. Pick up impression is taken and a healing abutment is placed. A few days later, the crown and abutment (separate) are seated passively; the abutment screw is retightened; the crown is re-cemented. The crown and abutment is removed for residual cement removal (Fig.11). Since there is mild buccal plate atrophy (Fig.11 B), the crown has a buccal lip (Fig.12 B) to prevent food impaction. The lip makes it difficult to remove residual cement intraorally. Therefore an access hole is necessary (Fig.13).
Return to Upper Premolar Immediate Implant, Trajectory 修复
Xin Wei, DDS, PhD, MS 1st edition 01/24/2019, last revision 06/13/2021