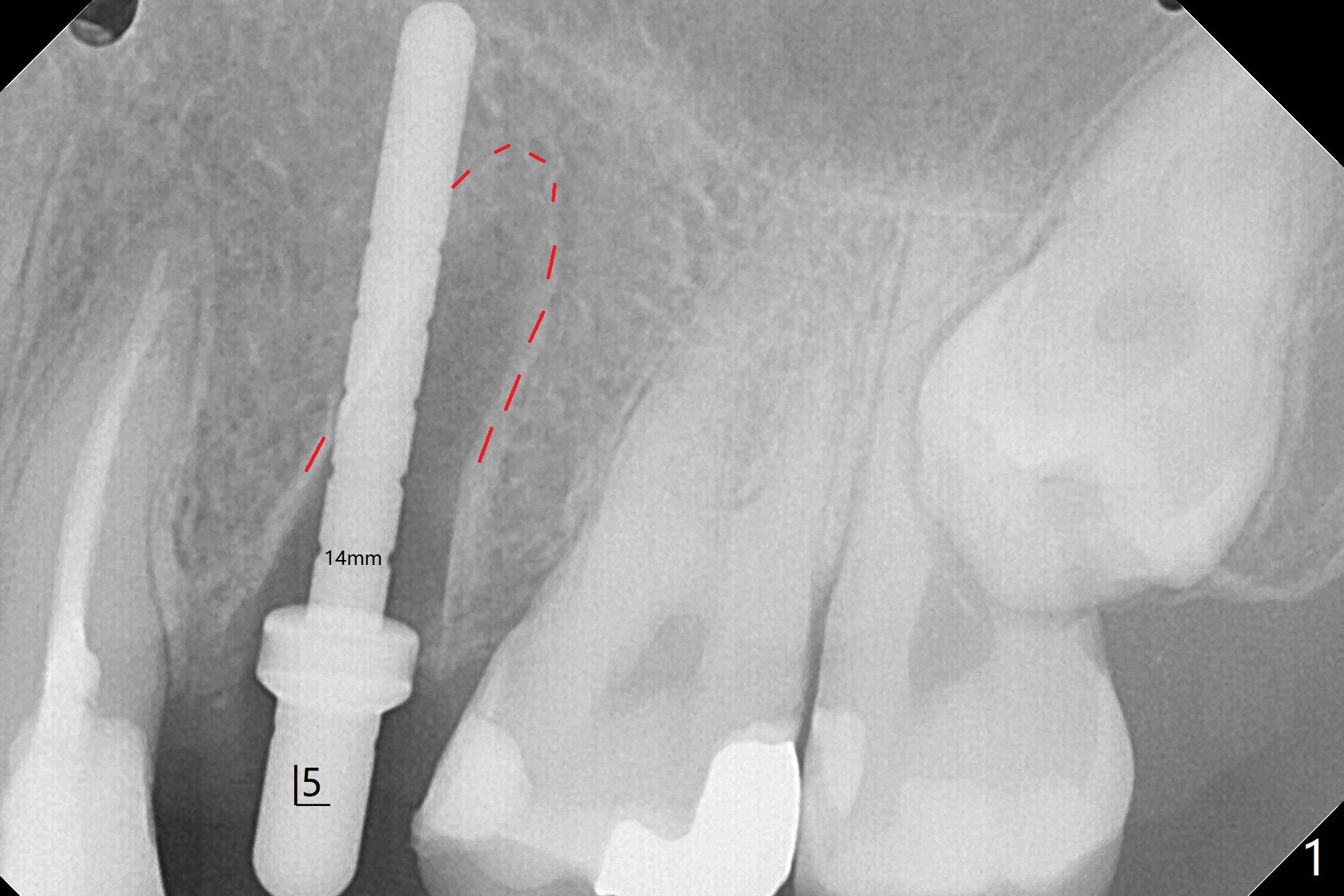
左上五牙齿长轴好像不理想,有意在即刻植牙过程中改之(图一),美中不足的是钻洞深度控制不好,太深了,

流产一期种植     Last     Next

Xin Wei, DDS, PhD, MS 1st edition 09/08/2020, last revision 09/08/2020