![]() |
![]() |
PRF缝线固定
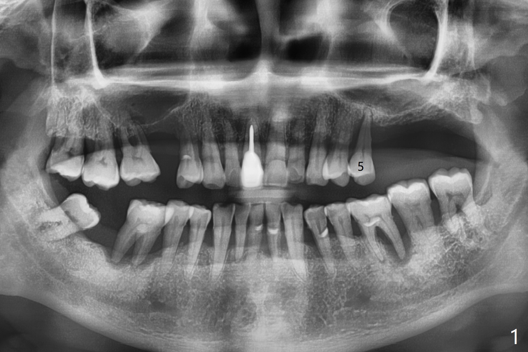
69岁男左上5逆行性(牙周炎导致)牙髓炎(图一)深洗后发展成为不可逆:夜间痛,拔除后植入粘性骨粉(图二:S),将一张PRF膜折叠三层放置牙槽窝开口,使用4-0 PGA缝线,多次figure-8和间断缝合,觉得挺牢靠,就没有使用牙周敷料,后者也估计呆不久。术后严密观察。其实后来伤口愈合正常,但是病人埋怨拔牙造成19号牙疼痛。不过他明天回来拔除30号牙,正好我用完骨粉,但是还有Osteogen Plug和Augma .5 cc 产品, 后者(两者)能维持骨高度吗?
Return to
No
Caries
螺丝松动
Xin Wei,
DDS, PhD, MS 1st edition 01/15/2021, last revision
03/14/2021