![]() |
![]() |
![]() |
||
![]() |
![]() |
![]() |
![]() |
![]() |
Short Bone
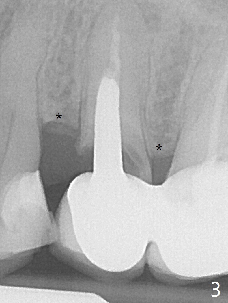
A 49-year-old woman has loose splinted crowns between #13 and 14. After removal of the crowns, the tooth #13 is found non-salvageable (Fig.1). A 4 or 4.5 x 8.5 or 10 mm implant should be able to achieve primary stability because of engagement of the implant into the mesial and distal walls of the socket and the sinus floor. Splinted provisional should provide with additional retention. There is no much need for socket shield, since there is no mesial or distal crestal bone loss (associated with food impaction). If the crown is short, there is no concern about buccal gingival recession. In fact the mesial papilla is more apical than the distal one (Fig.2 *), corresponding to the more apical crest (Fig.3 *). To prevent further mesial crestal loss post extraction, socket shield seems necessary. There appears that the implant is placed distal enough so that a small portion of the mesial root (Fig.4,5 R) is able to be saved. Fig.6 is the occlusal view of the residual root of the tooth #13. The mesial sheath will be kept (Fig.7,8, as compared to Fig.3).
Return to
No Deviation
No Antibiotic
15 (M)
19 (M)
Xin Wei, DDS, PhD, MS 1st edition
03/11/2020, last revision
05/11/2020