![]() |
![]() |
|
![]() |
![]() ![]() |
Pressure Arises from Sinus Lift M
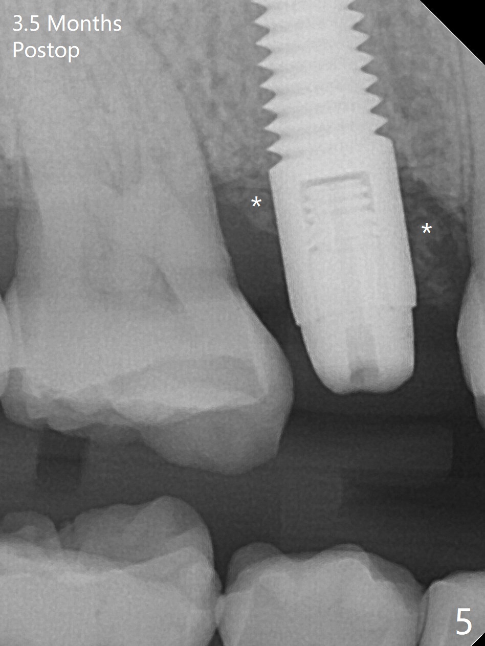
After free hand osteotomy at #4, a 4.5x20 mm tap achieves stability when it is partially inserted (Fig.1). To enhance stability, the tap is seated deeper to break the sinus floor and later to push allograft up after insertion of PRF. The nervous patient is not pleased with lengthy free hand procedure and pressure from sinus lift in spite of seemingly sufficient anesthesia (Fig.2,3). Later the implant is placed deeper ~ .5 mm for restoration. Guided surgery is a solution to nervous patients for apparently easy implantation such as in premolar. The buccal apical defect is not repaired because of no fistula and being far away from the crest. The sinus floor appears to be thickened (Fig.4 > with apparently increased bone density), while the original sinus floor becomes indistinct 3.5 months postop. The threads remain subcrestal, while bone graft keeps supracrestal (Fig.5 *).
Return to Upper Premolar Immediate Implant, Trajectory II Xin Wei, DDS, PhD, MS 1st edition 08/27/2019, last revision 02/16/2020