![]() |
![]() |
![]() |
![]() |
![]() |
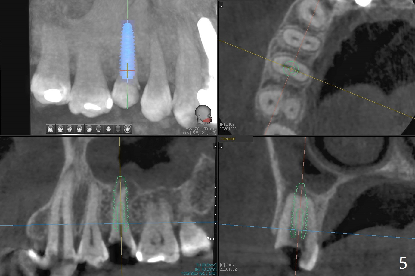
减少术后上颌窦炎
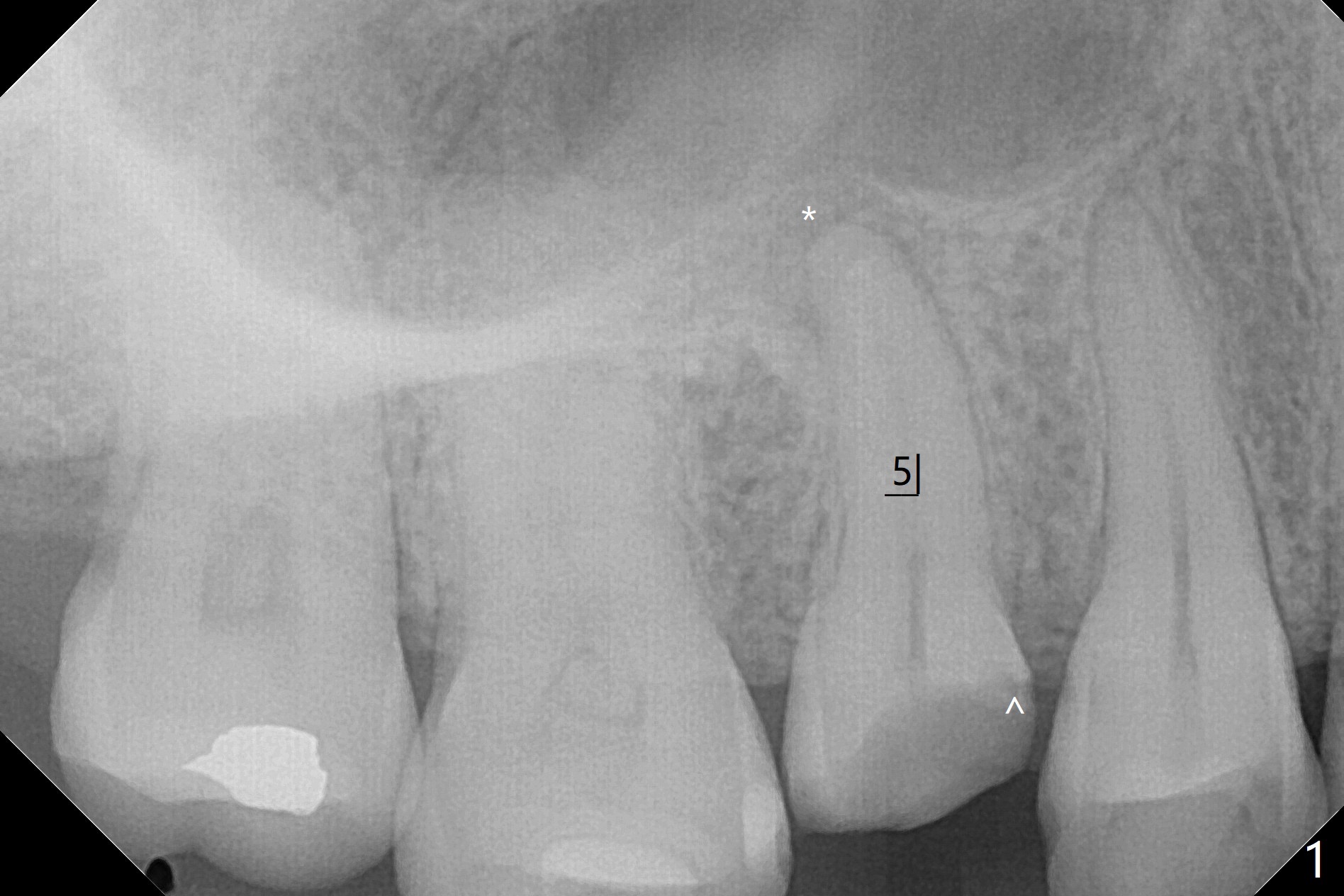
40岁女右上5树脂脱落,少许龋齿,近中边缘稍微龈下(图一:^),轻微叩痛(*)。经过商讨,她选择拔除植牙。CT检查显示上颌窦膜增厚(图二:*),为了减少术后上颌窦炎,第一,Z Pack(上呼吸道广谱抗菌素)和Medrol Dose Pack(激素)处方已开;第二,拔牙后(图三),将PRF膜推入上颌窦(图四:橘黄色),然后粘性骨块(红色圆圈);第三,植体长度刚好穿过窦底板(图五:11.5毫米)。Return to No Deviation 手术 No Neighboring Caries No Antibiotic 8, 10,30/31,19 Armaments 提升 Xin Wei, DDS, PhD, MS 1st edition 10/02/2020, last revision 03/28/2021