![]() |
![]() |
![]() |
![]() |
![]() |
![]() |
![]() |
![]() |
![]() |
![]() |
![]() |
马鞍状骨块
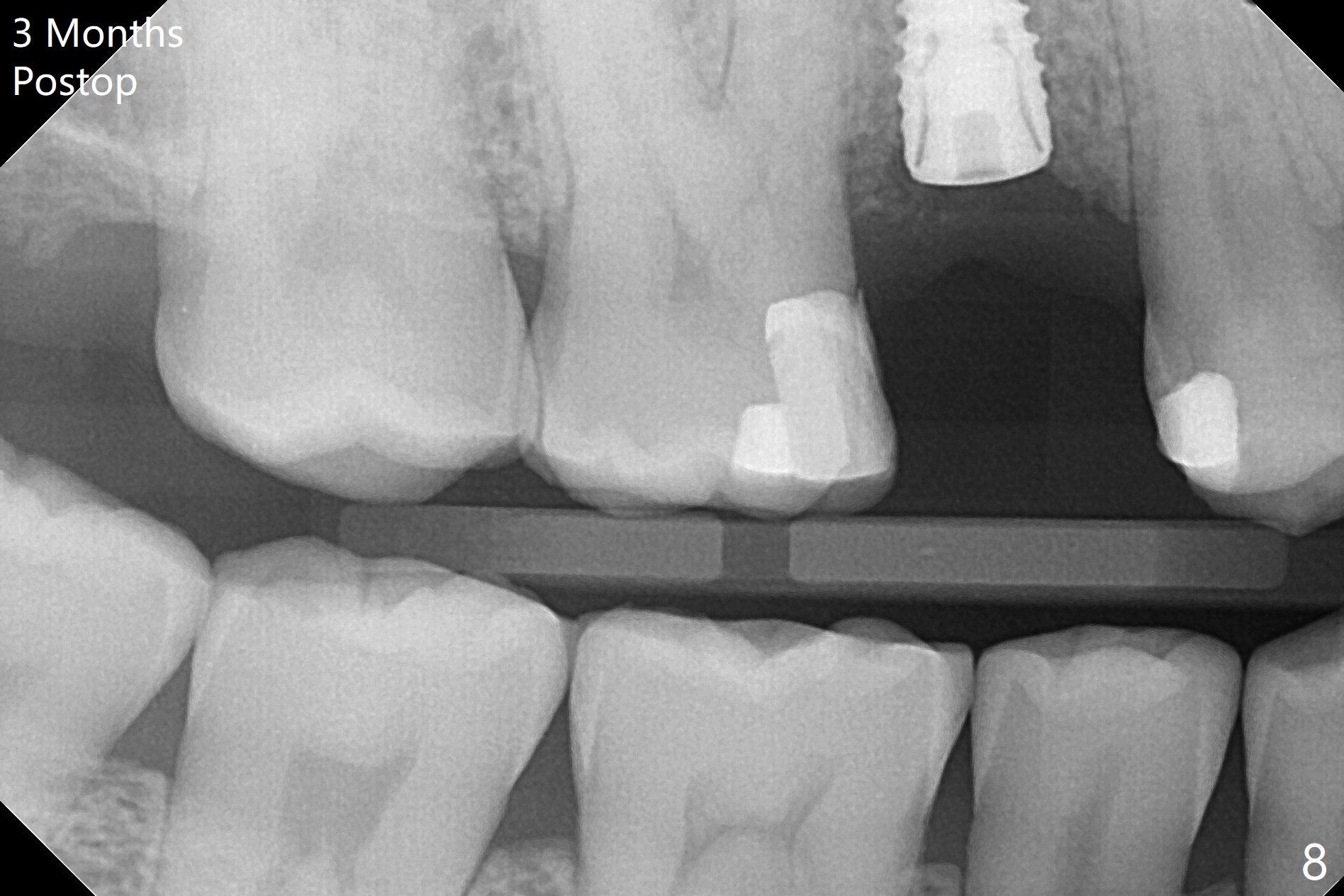
尽管没有任何症状,右上5牙冠粘固后2年5个月,牙冠与基台取出(没有使用扳手,说明基台未完全就位),切开,去除少量肉芽组织,仍然发现植体螺纹暴露(图一),使用一种叫I Brush 钛合金刷子清洁后,放置粘性骨块(图二: S),它坐在牙槽嵴上仿佛非常安稳,多么象马鞍(Saddle)。覆盖一张PRF膜和一小张Cytoplast(不可吸收膜,Osteogenics (company) 图三:箭头),使用PTFE缝线(与Cytoplast同样一种材料)缝合。术后即刻根尖片显示骨粉服服帖帖地坐落在植体和牙槽嵴上(图四:*)。最后覆盖牙周敷料。后者术后十天左右脱落,伤口愈合正常,颊侧瘘道仿佛消失,颊侧骨壁好像不再凹陷了(图五,六)。术后5周,膜已经脱落,缝线撤除后,伤口好像二期愈合,但愿肉芽组织下面骨粉尚未损失太多。术后三个月根尖片显示骨粉减少(图八)。不可吸收膜脱落可能造成骨粉流失。应该做减张缝合。术后4.5个月颊侧骨壁又凹陷(图九:箭头,需要decortication),但是uncover时植体周围都有骨质包绕,术后咬翼片也证明近中,远中骨质接触植体(图十:由于找不到合适愈合基台,直接放置基台和牙冠)。粘固后2.5个月虽然颊侧骨板凹陷,但是没有植体周围炎迹象(图十一)。
Return to
Trajectory II
No Deviation
SP
Xin Wei,
DDS, PhD, MS 1st edition 09/03/2020, last revision
03/31/2021