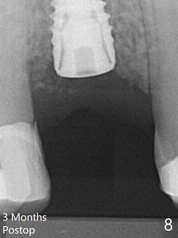
术后三个月根尖片显示骨粉减少(图八)。不可吸收膜脱落可能造成骨粉流失。应该做减张缝合。树脂敷料,而不是牙周敷料。其实缝合压扁骨粉,愈合或者细长的修复基台有支撑,减张作用。后面讨论。中央血供不够,伤口裂开。周围骨粉能成活就好。

马鞍状骨块     Last     Next

Xin Wei, DDS, PhD, MS 1st edition 12/09/2020, last revision 03/07/2021