![]() |
![]() |
![]() ![]() |
工作长度
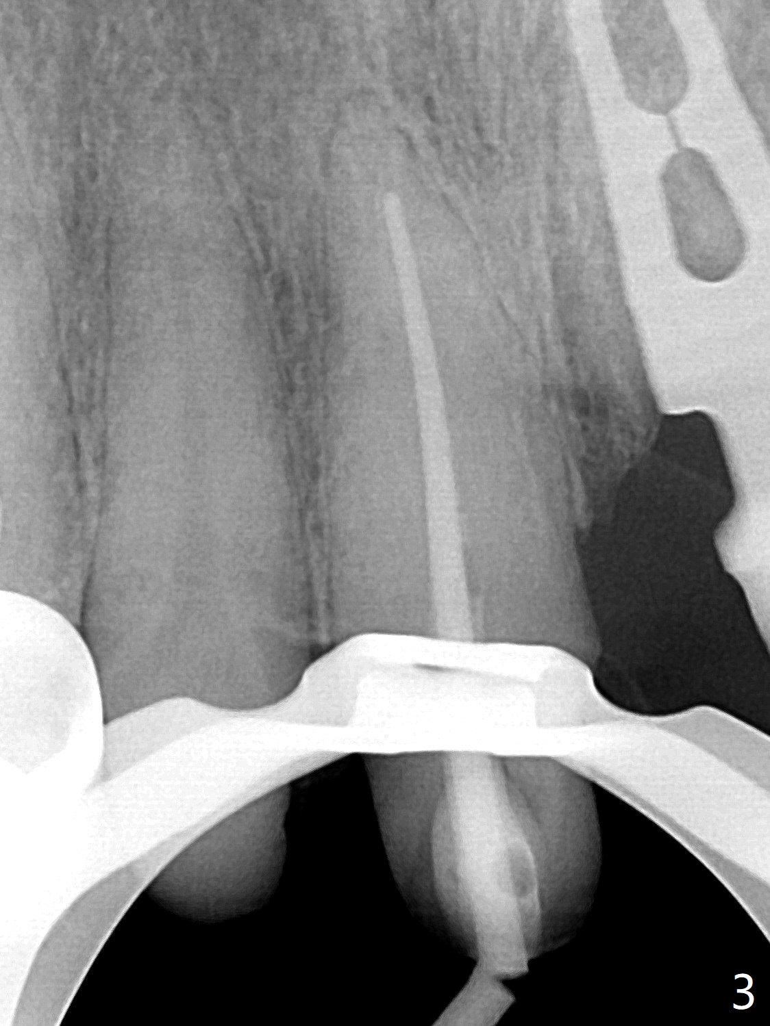
58岁女前牙桥撤除后三个月右上1(8号牙)出现牙髓炎,利用三个月前拍摄CT测定工作长度21.5毫米(图一),与术中根尖测定仪一致,但是40/.04 master cone没有达到工作长度(图二),再次使用根尖测定仪,工作长度22毫米,master cone空管临床上好像达到工作长度,但是加上糊剂,master cone临床上仍然不到工作长度,与根尖片一致(图三),三次切除牙胶尖,三次垂直压缩,仍然没有缓解长度问题(图四)。但愿临床上没有问题,此例是活髓。最终牙冠应用临时粘固剂。如果使用细的牙胶尖(考虑年龄因素),例如30/.04,可能简单些。
Return to
No Deviation
Professionals
Xin Wei,
DDS, PhD, MS 1st edition 10/31/2020, last revision
10/31/2020