![]() |
![]() |
![]() |
|
![]() ![]() |
![]() |
![]() |
|
![]() |
![]() |
![]() |
|
![]() |
![]() |
![]() |
|
![]() |
![]() |
![]() |
|
![]() |
![]() |
![]() |
![]() |
![]() |
![]() |
![]() |
|
![]() |
![]() |
![]() |
|
![]() |
![]() |
||
牙槽窝口关闭不需缝线
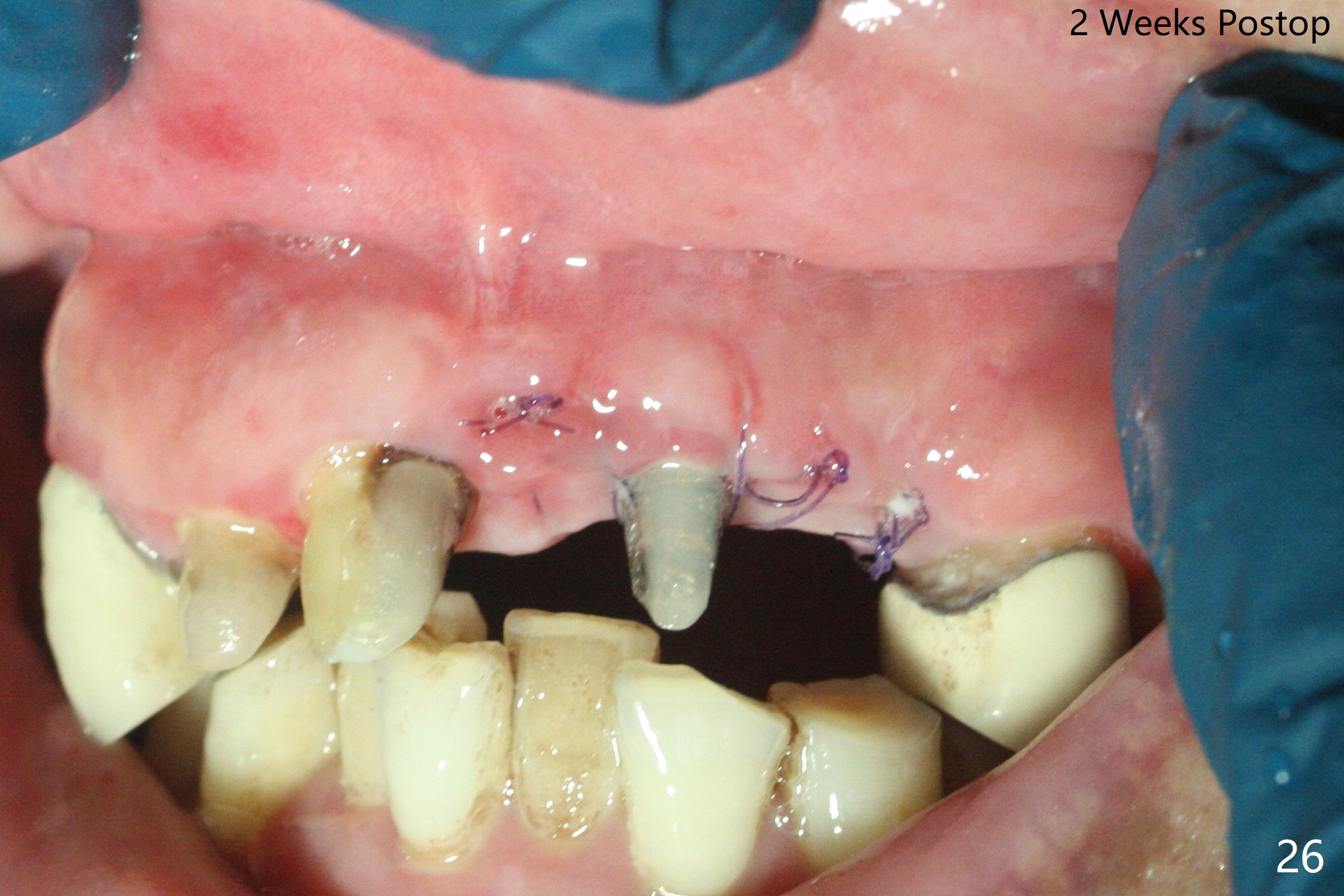
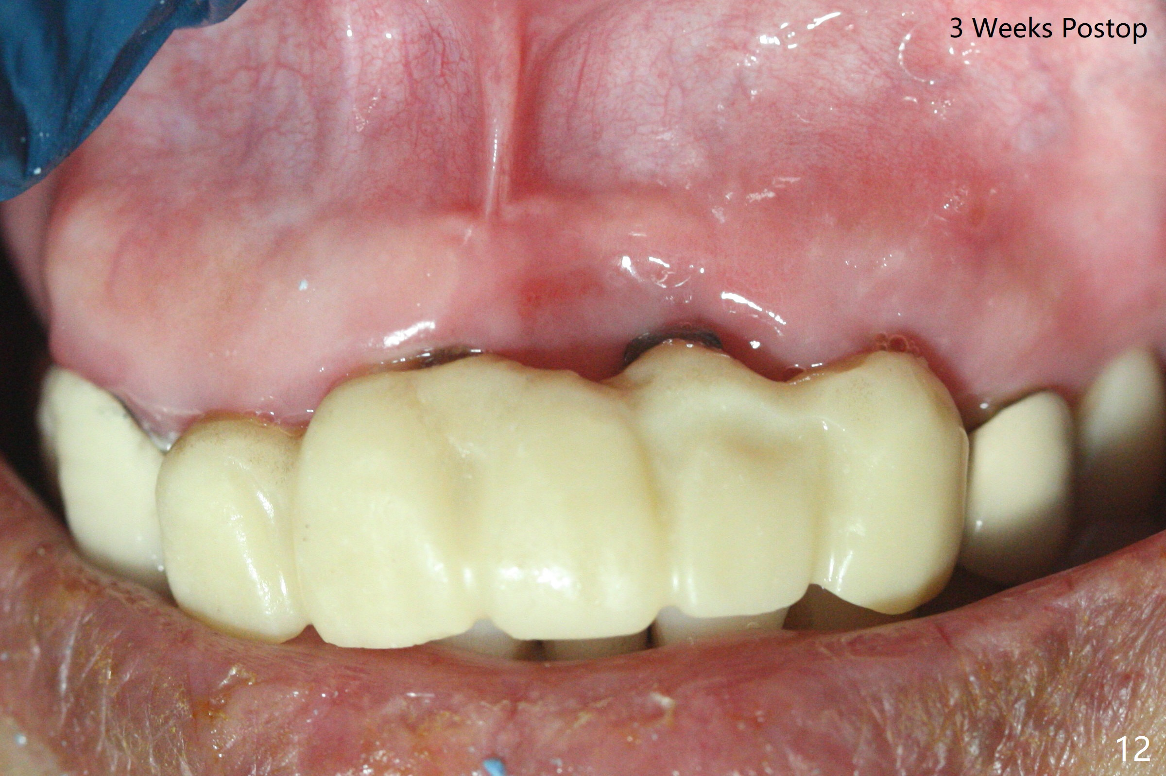
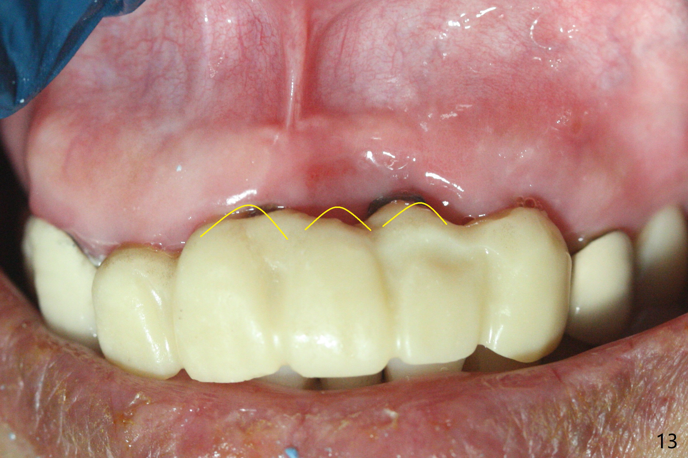
上前牙桥撤除显示右上1,2牙齿以及左上2叶片状植体好像可以保留,而左上3牙齿不能(图一,二(<:托牙边缘压迹)),拔除左上3牙齿后, 暂时把牙桥回位(图三:FPD(已经去除左上3号牙牙冠))作为3号牙种植位置参考(图四至六(G:骨粉))。其实植入前,当最后一个钻头还在原位,将PRF膜和粘性骨放置颊侧根尖(但愿骨粉能放深点),因为那里骨质很薄,好像缺损。由于植体扭力很低(大约5Ncm),放置骨粉覆盖植体(图七),为了不用缝线,涂牙周胶水(图八),放置胶原膜(图九),再涂胶水(图十)固定,最后利用右上1,2号牙(去龋,build-up后)和左上2植体制作临时牙桥,并且覆盖左上3牙槽窝。术后即刻CT显示植体颊侧(B)骨粉(图十一:*)。<:植体根尖仍有间隙,植体应该再长2毫米,初步稳定性会好些。左上3植牙愈合后,将与左上2植体制作左上1-3悬臂桥,右上1,2号牙将做根管治疗,桩,牙冠。临时牙桥术后十一天松动,右上一,二牙牙髓活性测定正常,深洗后,再次build up,不小心把左上3胶原膜吹掉,下面骨粉还稳定。术后三周病人回来做右上六种植,前牙临时修复体(图十二)需要修改(图十三)。拍摄三个方向照片显示前牙牙龈乳头(颊侧和咬合面)。
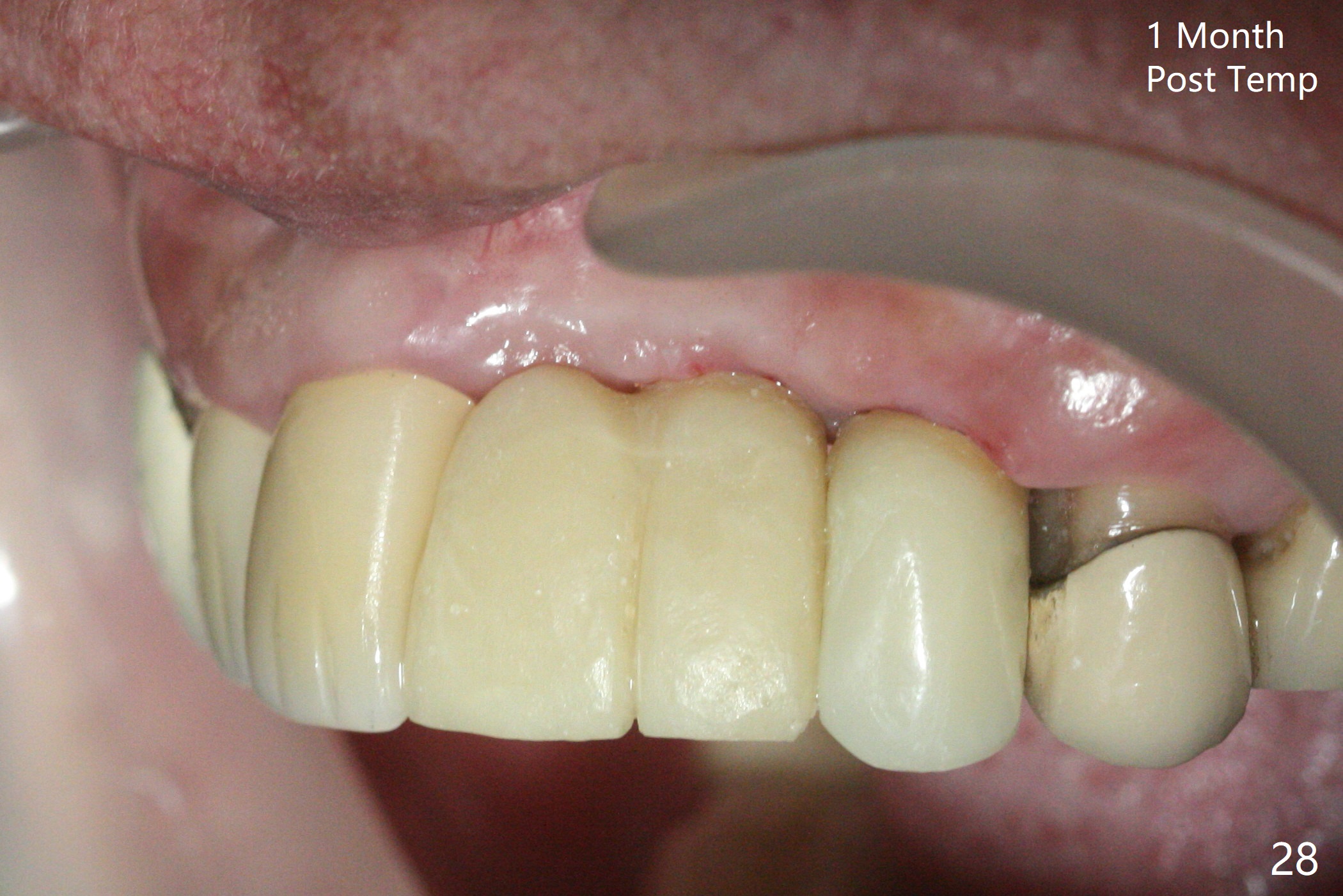
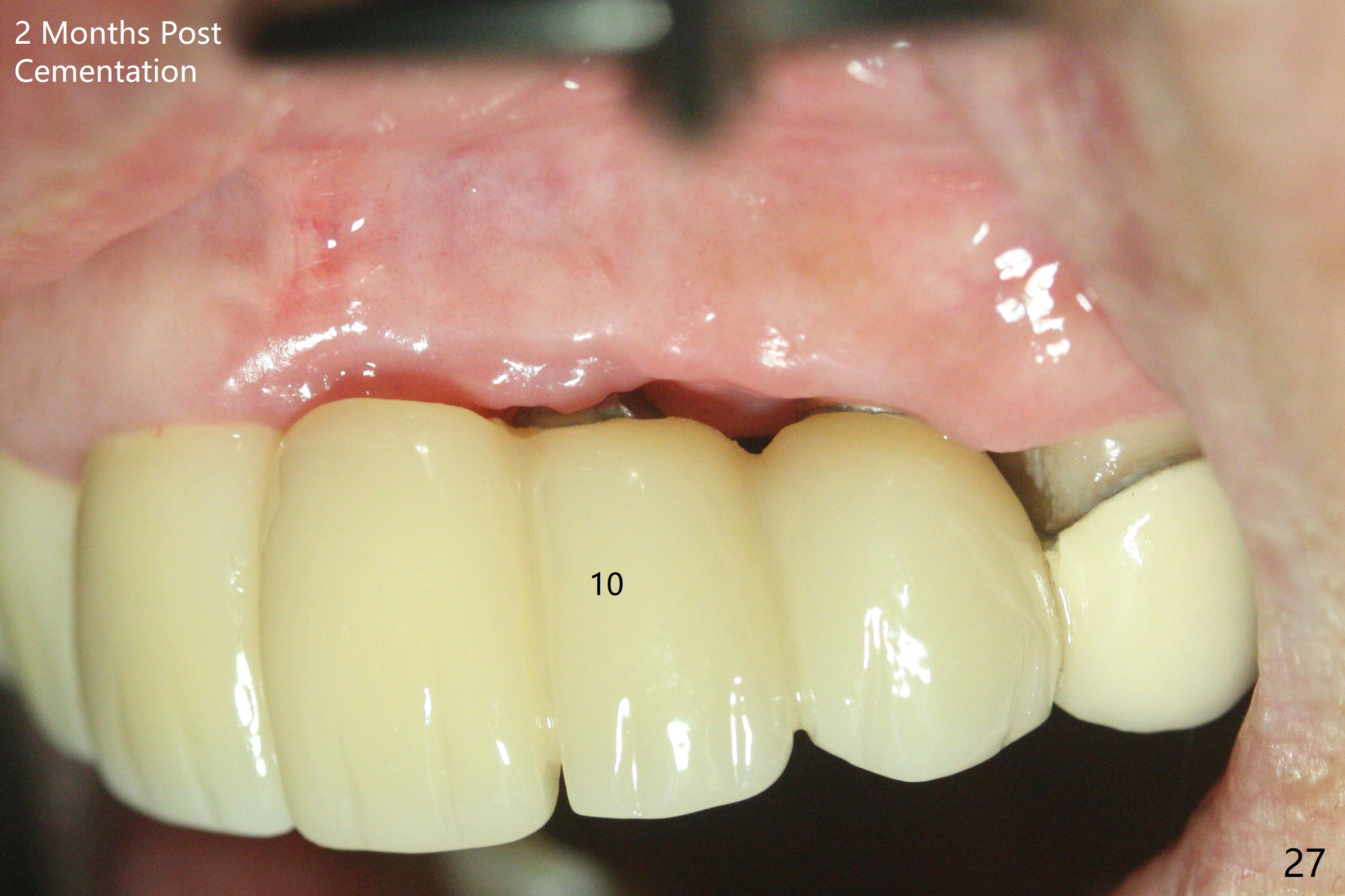
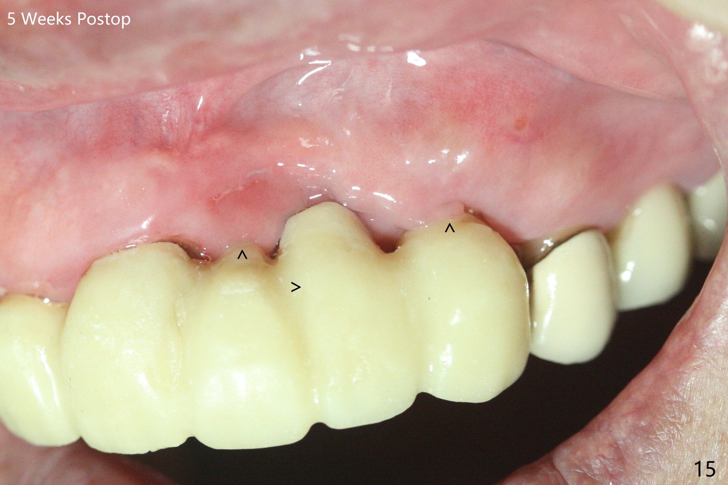
The mesiobuccal margin at #8 is redefined 4 weeks postop (Fig.14) so that the cervical end of the temporary crown is able to move mesially (Fig.13). The most coronal portion of the bone graft at #11 begins to be detached (*). The mesial portion of the abutment at #10 will be removed (curved white line) in the following week. After removing the most coronal portion of detaching bone graft at #11, acrylic is added to form a concave pontic (Fig.15 ^). With removal of the mesial portion of the abutment at #10, the retainer is moved distal (>). Pontics form at UL1 and 3 two months postop (Fig.16 *), while there is buccal atrophy at UL1,2 (Fig.17). 术后3个月植牙区牙龈形态良好(图十八),即将暴露,放置愈合基台。图十九是在右上1根管治疗时(基台放置后五天)拍摄。左上3术后3个月3个星期,1,2唇侧塌陷(图二十)。叶状植体处牙槽嵴往根尖萎缩(图二十一:^)。尽管做了松弛切口,放入事先预备的粘性骨粉后,几乎没有空间放置结缔组织移植物,恰好还没有取。放置PRF膜后,使用4-0 Monoglyc缝线缝合。牙龈似乎冠方移位(图二十二:箭头)。植骨后,唇侧仿佛饱满多了(图二十三:*)。骨粉放置于左上1,2唇侧和牙槽嵴(图二十四:*,与之前(图十九)对比)。后者有助于牙龈冠方移位,而前者有助于增加唇侧饱满度。植骨术后两周唇侧仍饱满(图二十五,六)。植骨后四个月牙冠粘固,两个月后,病人抱怨10号牙左右食物坎塞(图二十七),9/10牙冠撤除,10基台边缘加深,重做临时牙冠,同时增加9凹陷(pontic)。一个月后,9/10临时牙冠修整两次,11永久性牙冠撤除,也制备临时牙冠,外形明显改善(图二十八)。
Return to No Deviation 下一个病例(骨粉根尖放置)8
Xin Wei, DDS, PhD, MS 1st edition 07/23/2020, last revision 06/08/2021