![]() |
![]() |
![]() |
![]() |
这是什么修复体?
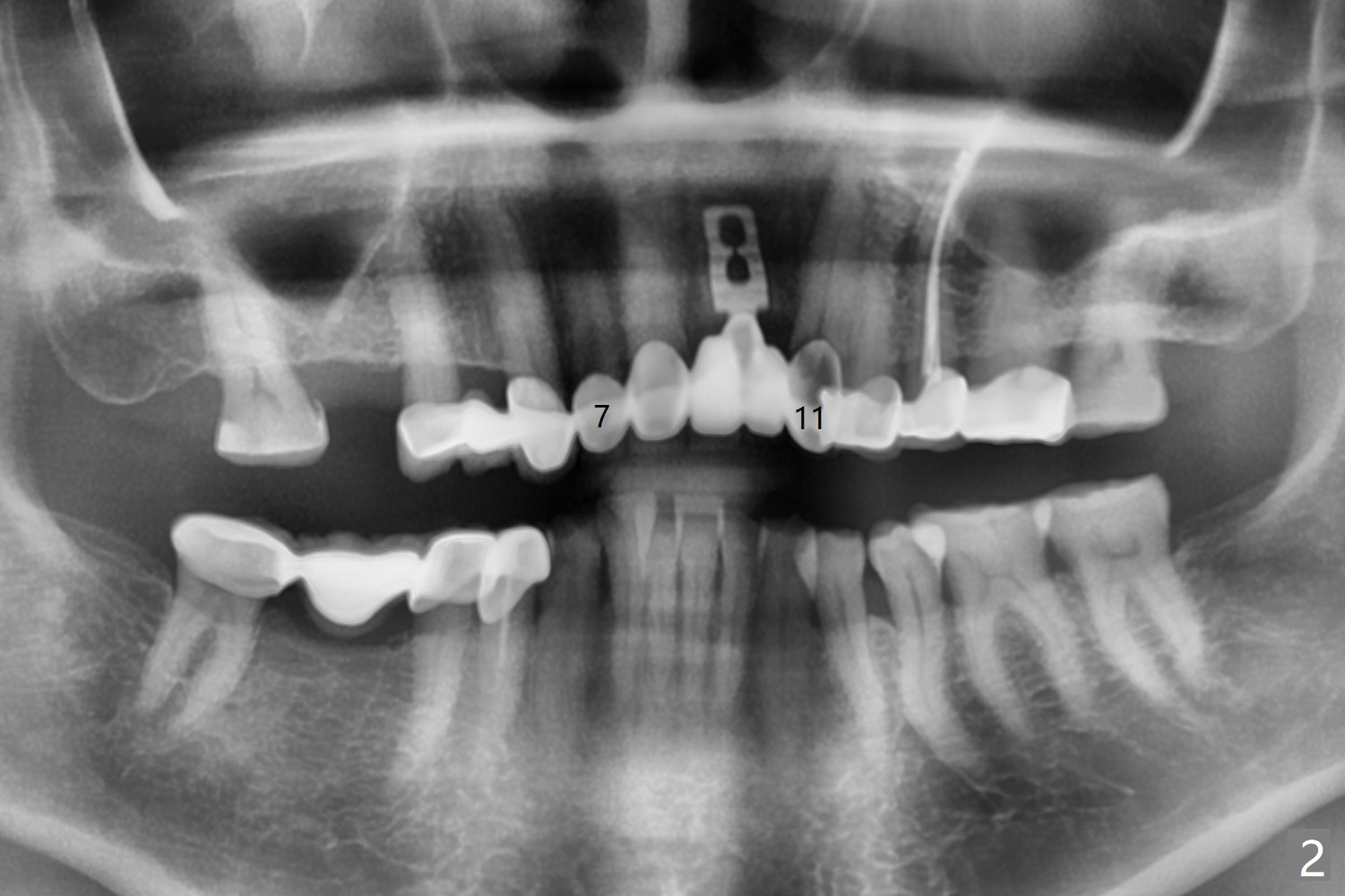
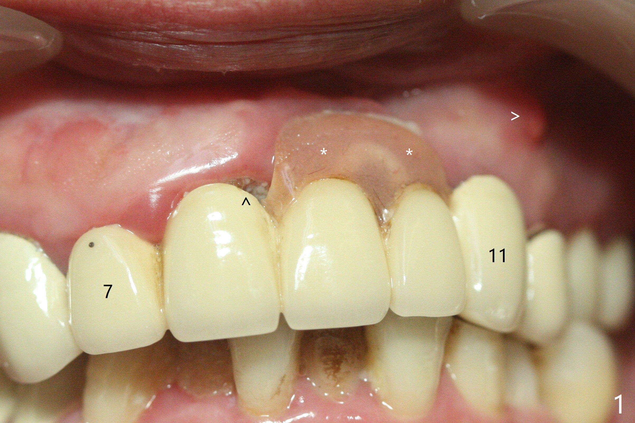
今天来一位57岁女,“前牙桥快掉了” (图一:7-11,桥在尖牙(11)端松动明显),不明白为什么左上中,侧切牙唇侧带有托牙树脂(*),影响局部卫生(^)。全景片(图二),CT(图三)显示刀柄植体,好像没有骨质吸收,但是修复体与基台脱离,树脂大概有美观作用。尖牙根尖瘘道(图一:>),阴影(图三 (B:颊侧),四)表明牙齿似乎无法保留,其余牙齿命运等待桥撤除后决定。琼脂取模,模型已制备,简易stent尚未完成。明天一早病人回来治疗,抽血一管制备骨块和PRF膜。
Return to
No Deviation
Metronidazole
3
Xin Wei,
DDS, PhD, MS 1st edition 07/22/2020, last revision
08/04/2020