![]() |
![]() |
![]() |
|||
![]() |
![]() |
![]() |
|||
![]() |
![]() |
![]() |
![]() |
||
![]() |
![]() |
![]() |
![]() |
![]() ![]() |
|
![]() |
![]() |
||||
Upper Lateral Incisor Implant Re-Placement
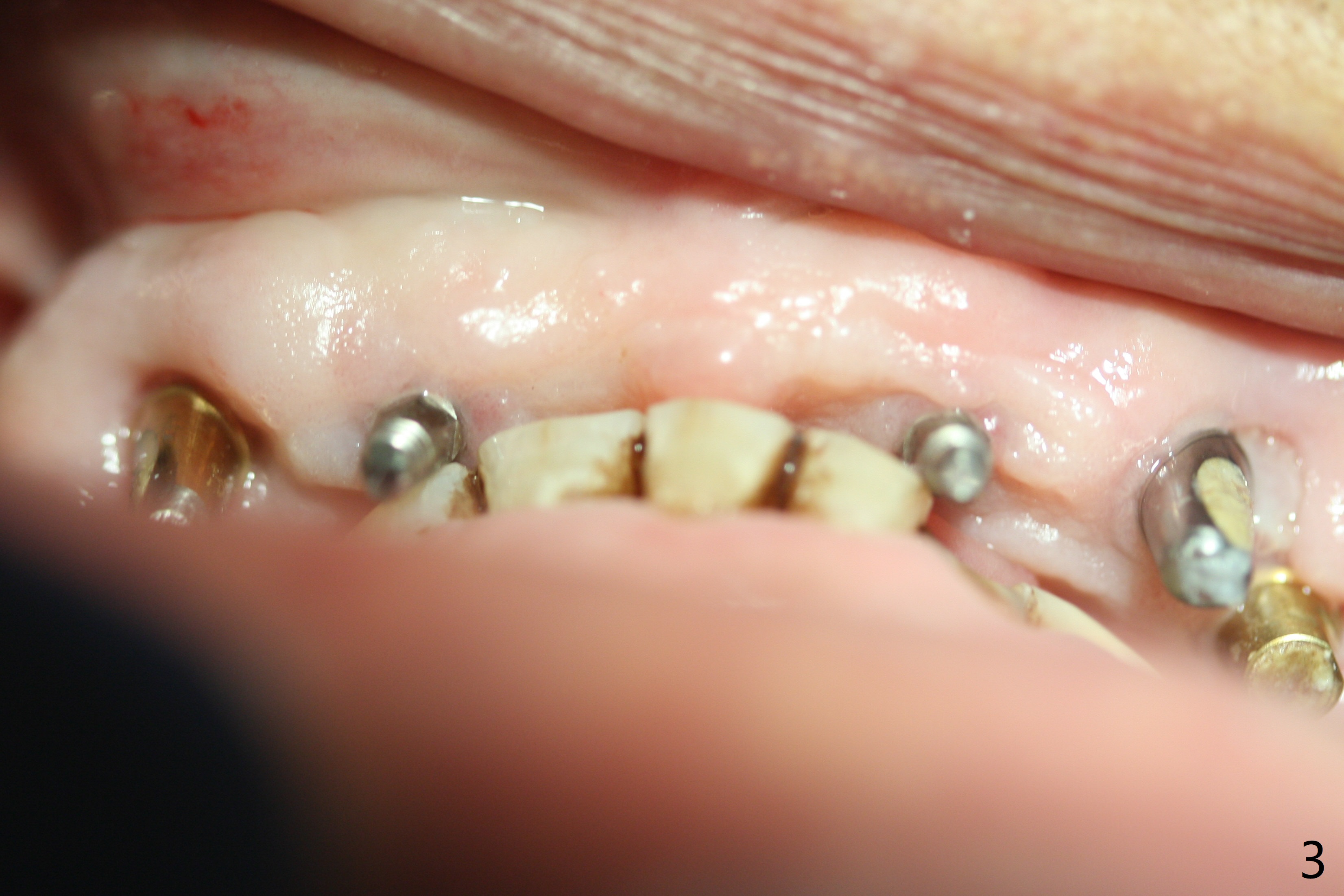
To have enough clearance for the splinted provisional at #6-12 (Fig.1 *), composite has been placed in the posterior teeth (bilateral, *, Fig.2). When the composite is removed, there is no clearance between the implants/abutments of #7 or 10 (Fig.3). Incision is made with removal of the 1-piece implant at #7; there is enough bone to move the osteotomy buccal (Fig.4 arrowhead). When the same implant is placed buccal (Fig.5), there is sufficient clearance for restoration (Fig.6 *), while there is still enough buccal bone left (Fig.7). When the patient returns 5.5 (for #7 and 10)/6.5 (#6,11,12) months postop, his chief complaint is tenderness lingual to #11. In fact, the abutment screw is loose at #11, while the implant at #10 has mobility (Fig.8), which is related to loss of the posterior stops (*) due to wear. There is slight bone loss mesial to #10 implant 5.5 months postop (Fig.10, as compared Fig.9). CBCT taken 5.5/6.5 months postop shows no bone loss (Fig.11-15). The 3x14 mm 1-piece implant at #10 is mobile 9 months postop and is removed and replaced by a 3.5x13 mm 2-piece one with slightly buccal osteotomy (Fig.16). PAs are taken prior to impression (Fig.17,18). The abutment at #12 is loose (<). More composite needs to be added to the occlusal surface of the upper posterior teeth. Finally the patient agrees to have crowns for the upper posterior teeth.
Return to
Upper Arch
Immediate Implant
Trajectory
Xin Wei, DDS, PhD, MS 1st edition 12/10/2018, last revision 12/13/2019