![]() |
![]() |
![]() |
|
![]() |
![]() |
![]() |
![]() |
![]() |
![]() |
||
Papillary Formation
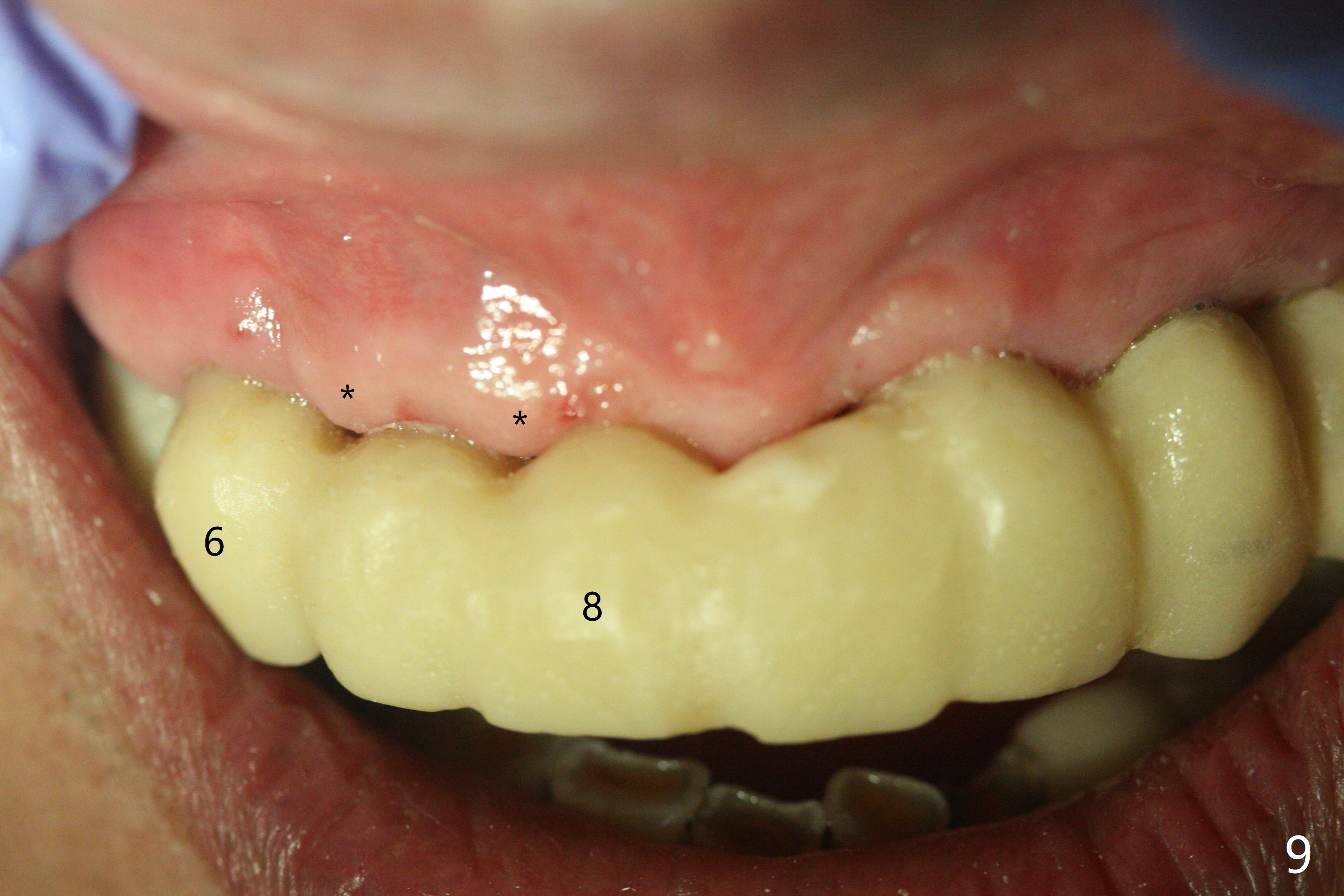
With temporarization of #3,4,13-15 (Fig.1), the anterior clearance is maintained (Fig.2). When provisional is removed, there is no papilla between #7 and 8 (Fig.3,4). After confirmation of complete seating of the abutments at #6 and 10 (Fig.5,6), gingivectomy is conducted with Diode laser (Fig.7,8). Following provisional being relined and modified, the anterior papillae form (Fig.9).
Return to
Upper Arch
Immediate Implant
Trajectory
Xin Wei, DDS, PhD, MS 1st edition
12/13/2019, last revision
09/09/2020