![]() |
![]() |
![]() |
|
![]() |
![]() |
![]() |
![]() |
![]() |
![]() |
||
When the Patient Does not Want to Finish Ortho as Related to Implant Restoration
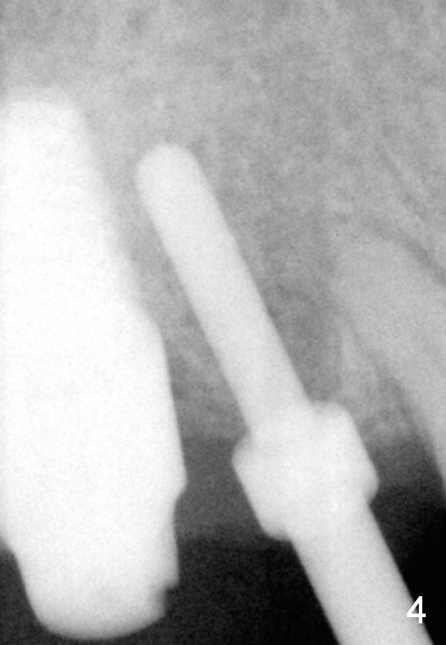
The implant at the site of #3 is intentionally placed distal as part of a plan to distalize the teeth #4-6 (Fig.1). Ortho started, but the patient did not want to pursue it. The most efficient way to terminate it is to dislodge every one of brackets/bands. When it is time for restoration for implants at the sites of #3 and 30, it is a challenge to deal with the space mesial to #3. The patient is planning to leave the country in 20 days. Fortunately he agrees to have an extra implant (Fig.2). It must be small in diameter. The initial osteotomy does not go on smoothly, approaching the apex of the tooth #4 (Fig.3 A). The osteotomy is moved distally and the trajectory is changed. It appears to be overcorrected (Fig.4). After re-adjustment, a 3.5x14 mm implant is placed with insertion torque between 15 and 20 Ncm (Fig.5). An abutment is placed with perio dressing applied around it as well as #3 after suturing. When the wound heals and before the patient leaves the country, the abutment is removed.
Eight months postop (Fig.6), he returns for final restorations (Fig.7 (buccal), 8 (lingual view)). There is no bone loss nearly 2 years post cementation (Fig.9).
Return to Implant & Ortho,
Upper Arch and Full Mouth Reconstruction
Xin Wei, DDS, PhD, MS 1st edition 04/11/2015, last revision 11/26/2017