![]() |
![]() |
![]() |
![]() |
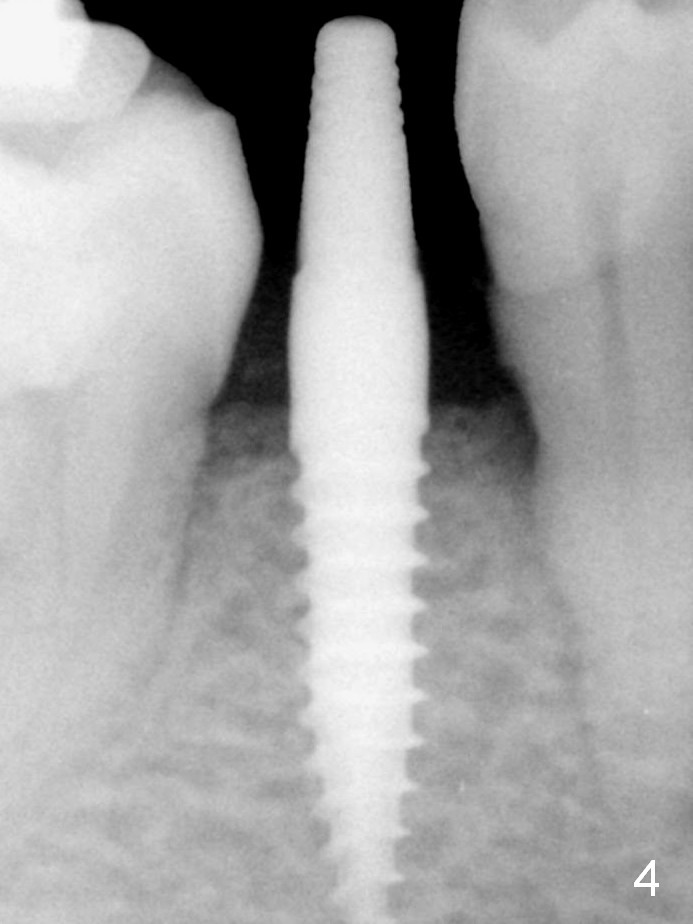
A 3x12(2) mm 1-piece implant is placed (Fig.4) with insertion torque > 40 Ncm. There is no bone loss 3 months postop (Fig.6), 3.5 months post cementation (Fig.9) or 3 years 7 months post cementation (Fig.12).
1-Piece Implant Post-Ortho Last Next 植牙,导板与正畸 Xin Wei, DDS, PhD, MS 1st edition 10/10/2020, last revision 01/04/2021